JAG1 Recombinant Monoclonal Antibody
-
中文名稱:JAG1 Recombinant Monoclonal Antibody
-
貨號:CSB-RA272247A0HU
-
規格:¥1320
-
圖片:
-
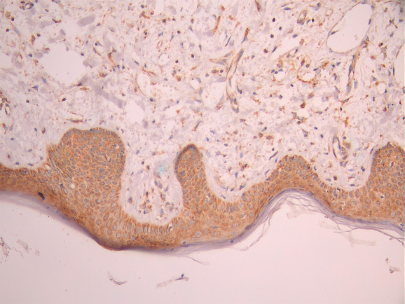
IHC image of CSB-RA272247A0HU diluted at 1:100 and staining in paraffin-embedded human skin tissue performed on a Leica BondTM system. After dewaxing and hydration, antigen retrieval was mediated by high pressure in a citrate buffer (pH 6.0). Section was blocked with 10% normal goat serum 30min at RT. Then primary antibody (1% BSA) was incubated at 4°C overnight. The primary is detected by a Goat anti-rabbit polymer IgG labeled by HRP and visualized using 0.05% DAB.
-
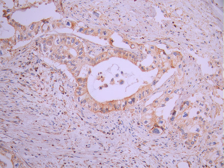
IHC image of CSB-RA272247A0HU diluted at 1:100 and staining in paraffin-embedded human pancreatic cancer performed on a Leica BondTM system. After dewaxing and hydration, antigen retrieval was mediated by high pressure in a citrate buffer (pH 6.0). Section was blocked with 10% normal goat serum 30min at RT. Then primary antibody (1% BSA) was incubated at 4°C overnight. The primary is detected by a Goat anti-rabbit polymer IgG labeled by HRP and visualized using 0.05% DAB.
-
-
其他:
產品詳情
-
Uniprot No.:
-
基因名:
-
別名:AGS antibody; AHD antibody; AWS antibody; CD 339 antibody; CD339 antibody; CD339 antigen antibody; Headturner antibody; hJ1 antibody; Htu antibody; Jag 1 antibody; Jag1 antibody; JAG1_HUMAN antibody; Jagged 1 antibody; Jagged1 (Alagille syndrome) antibody; Jagged1 antibody; JAGL1 antibody; MGC104644 antibody; OTTHUMP00000030278 antibody; Protein jagged-1 antibody; Ser 1 antibody; Ser1 antibody; Serrate 1 antibody; Slalom antibody
-
反應種屬:Human
-
免疫原:A synthesized peptide from human JAG1 protein
-
免疫原種屬:Homo sapiens (Human)
-
標記方式:Non-conjugated
-
克隆類型:Monoclonal
-
抗體亞型:Rabbit IgG
-
純化方式:Affinity-chromatography
-
克隆號:17G12
-
濃度:It differs from different batches. Please contact us to confirm it.
-
保存緩沖液:Rabbit IgG in 10mM phosphate buffered saline , pH 7.4, 150mM sodium chloride, 0.05% BSA, 0.02% sodium azide and 50% glycerol.
-
產品提供形式:Liquid
-
應用范圍:ELISA, IHC
-
推薦稀釋比:
Application Recommended Dilution IHC 1:50-1:200 -
Protocols:
-
儲存條件:Upon receipt, store at -20°C or -80°C. Avoid repeated freeze.
-
貨期:Basically, we can dispatch the products out in 1-3 working days after receiving your orders. Delivery time maybe differs from different purchasing way or location, please kindly consult your local distributors for specific delivery time.
-
用途:For Research Use Only. Not for use in diagnostic or therapeutic procedures.
相關產品
靶點詳情
-
功能:Ligand for multiple Notch receptors and involved in the mediation of Notch signaling. May be involved in cell-fate decisions during hematopoiesis. Seems to be involved in early and late stages of mammalian cardiovascular development. Inhibits myoblast differentiation. Enhances fibroblast growth factor-induced angiogenesis (in vitro).
-
基因功能參考文獻:
- We observe similar stapes defects and hearing loss in one patient with heterozygous JAGGED1 loss, and a diversity of conductive and sensorineural hearing loss in nearly half of Alagille Syndrome patients, many of which carry JAGGED1 mutations PMID: 28566723
- MFNG imposes a negative correlation between Jag1 and Notch, being high Jag1 in the absence of MFNG predictive of poor prognosis. PMID: 30065304
- MiR-26b-5p acts as a tumor suppressor through suppressing cells proliferation and inducing cells apoptosis via directly targeting JAG1 in multiple myeloma PMID: 30098829
- miR-30d may improve TGF-beta1-induced pulmonary fibrosis through direct binding to the 3'UTR of JAG1 and blocking JAG1/Notch signaling PMID: 30029934
- these two lossoffunction JAG1 mutations may be associated with Alagille syndrome manifestations in these patients PMID: 29956768
- Results provide evidence that JAG1 is downregulated by microRNA-128 binding its 3'UTR in glioma cells. PMID: 29091297
- The demonstration that miR-124 inhibits gastric cancer cell growth supports the concept that miR-124 functions as a tumor suppressor by a mechanism that involves translational repression of the JAG1 and the inhibition of Notch signaling pathway. PMID: 28941308
- The c.765C>T JAG1 variant is significantly associated with the pathogenesis of tetralogy of Fallot in the Iranian population. PMID: 29631691
- Vascular smooth muscle cells were cyclically stretched on flexible membranes, as quantified via video tracking, demonstrating that the expression of Jagged1, Notch3, and target genes was down-regulated with strain. PMID: 29610298
- This study identifies the unique role of JAG1-induced Notch activation in the pathogenesis of multiple myeloma PMID: 29242532
- is an autosomal dominant disorder found to be linked to the Notch ligand JAG1.5 Approximately 90 percent of patients presenting with Alagille Syndrome have a mutation on the JAG1 gene that is located on chromosome 20p12. PMID: 29185945
- These data indicate a process of NF-kappaB-induced miR-506 suppression and JAG1 upregulation upon IL-1beta induction. PMID: 28926924
- In subjects with Alagille syndrome, incomplete clinical features of Alagille syndrome and biliary atresia, the frequency of mutations was as follows: single nucleotide variants (51.9%), small insertion or deletion (29.6%) and gross deletion (18.5%). PMID: 28695677
- The Jagged1-Notch pathway showed elevated expression in AI-resistant breast cancer cells, resulting in macrophage differentiation towards M2 TAMs and there contributing to the acquisition of AI resistance. PMID: 28730338
- Data show that Delta-like 4 (DLL4) and Jagged1 (JAG1) displayed equal potency in stimulating Notch target genes in HMEC-1 dermal microvascular endothelial cells but had opposing effects on sprouting angiogenesis in vitro. PMID: 28445154
- Missense mutant of Jag1 (Jag1(Ndr)) disrupts bile duct development and is responsible for Alagille syndrome phenotypes in heart, eye, and craniofacial dysmorphology. PMID: 29162437
- JAG1 was demonstrated to be a novel target of miR1405p, and miR1405p exerted its inhibitory effect on human glioma growth and invasion, partly by suppressing JAG1. PMID: 28713992
- miR-141 may serve as an antioncomir in GSCs and markedly inhibit their self-renewal via downregulating Jagged1 expression levels in vitro and in vivo. PMID: 28535010
- HIF1A potentiates Jagged 1-mediated angiogenesis by mesenchymal stem cell-derived exosomes. PMID: 28376567
- the Notch signaling and atherosclerosis relevant markers in lesions from femoral arteries of symptomatic peripheral artery disease patients, were characterized. PMID: 28472949
- Lower positive expression rate of RUNX3 and higher positive expression rate of Notch1 and Jagged 1 were observed in CRC tissues than those in normal adjacent tissues with a negative correlation, and the expression levels were associated with the differentiation degree, TNM staging, lymph node metastasis and tumor invasion depth (all P<0.05). PMID: 28498402
- These findings imply that miR-199b-5p performs an inhibitory role in osteogenic differentiation in ligamentum flavum cells by potentially targeting JAG1 and influencing the Notch signalling pathway. PMID: 27957826
- A three-molecule score based on the expression of Notch pathway molecules: Jagged1, intracellular Notch1 (ICN1) and Hes1 (JIH score) to assess prognostic value in non-metastasis clear cell renal cell carcinoma (ccRCC). PMID: 27612417
- Jagged1 (JAG1) thymic medullary niche enriched for dendritic cells (DC)-lineage cells expressing Notch receptors indicate thymus as a DC-poietic organ, which provides selective microenvironments permissive for DC development. PMID: 28947612
- Positive Jagged1 and DLL4 expression is closely correlated with severe clinicopathological characteristics and poor prognosis in patients with gallbladder cancers. PMID: 27174628
- Data indicate that jagged 1 protein (JAG1)-mediated Notch signaling regulates differentiation of basal cells (BC) into secretory cells. PMID: 27216293
- these results show that the Notch signaling pathway in T cells is crucial for the induction of TH2-mediated allergic airway inflammation in an house dust mite -driven asthma model but that expression of Jagged 1 or Jagged 2 on DCs is not required PMID: 28111308
- Bruceine D inhibits hepatocellular carcinoma growth by targeting beta-catenin/jagged1 signaling pathways. PMID: 28645563
- Results showed that JAG1 was significantly downregulated in miR-26a-overexpressing osteosarcoma cells and is a direct target of miR-26a. PMID: 27270422
- the effects of two Notch ligands, i.e., Jagged1 and DLL1, on murine and human hematopoiesis in vitro. Our observations indicate that the stromal expression of Notch ligands increases the production of both the total and phenotypically early murine and human hematopoietic cells in the co-culture. PMID: 28537242
- Specific Notch3 and Jag1 subcellular localization patterns may provide clues for the behavior of the corresponding tumors and could potentially be applied in the clinic for Jag1 targeting in triple-negative breast cancer patients. PMID: 28476798
- there is a cross-talk between Jagged1/Notch3 and VEGF in TNBC angiogenesis. Jagged1/Notch3 is expected to be an important signaling pathway for TNBC progression and a potential target for TNBC neovascularization therapy. PMID: 28625320
- Low levels of Notch pathway genes Notch1, Notch2, Notch4 and Jagged1 correlated with poor prognostic factors such as larger tumor size, positive lymph-node status, tumor phenotype and infiltrating tumor Treg cells. PMID: 27118257
- Human Jagged-1 induced the proliferation and differentiation of CD133+ cord blood progenitors compared with hDll-1. Thus, hJagged-1 signaling in the bone marrow niche may be used to expand EPCs for therapeutic angiogenesis PMID: 27846321
- By studying leprosy as a model, we provide evidence that upregulation of JAG1 on endothelium instructs monocytes to differentiate into M1 macrophages with antimicrobial activity. PMID: 27532668
- High Jag1 expression is associated with metastasis in colorectal cancer. PMID: 28161537
- amplification of Jagged1 contributed to mRNA expression that activates the Jagged1-Notch signaling pathway in liver cancer and led to poor outcome. PMID: 27315779
- Our data revealed that MALAT1 inhibited tongue cancer cell growth and metastasis through miR-124-dependent JAG1 regulation. In conclusion, we revealed that MALAT1 may play an oncogenic role by increasing proliferation and metastasis of tongue cancer and is a potential therapeutic target in human tongue cancer. PMID: 28260102
- Positive Jagged1 and DLL4 expression is closely correlated with severe clinicopathological characteristics and poor prognosis in patients with pancreatic ductal carcinoma. PMID: 27919854
- miR-199a-3p targets YAP1, downregulates Jagged1 and suppresses the Notch signaling to inhibit hepatocellular carcinoma (HCC) cell proliferation and promote apoptosis. These findings provide new insights into the mechanism by which miR-199a-3p suppresses HCC cell proliferation and induces apoptosis. PMID: 27832779
- Jagged1 activation of Notch3 resulted in a significant decrease in cell proliferation while concomitantly promoting Hemangioma-pericyte maturation. PMID: 27941324
- expression of JAG1 is regulated by various pathways and is associated with poor prognosis through promoting the epithelial to mesenchymal transition and cell proliferation or maintaining cell survival in colorectal cancer PMID: 27589478
- AGS is caused by mutations in one of two genes, namely, JAG1 or NOTCH2. These genes are part of the Notch signaling pathway, which is involved in cell fate determination. JAG1 mutations have been identified in 70-94% of individuals with clinically diagnosed AGS PMID: 25676721
- On complete gene sequencing of JAG1 gene as described before, the patient was shown to be heterozygous for a known pathogenic mutationc.270delG (p.C92AfsX69) in exon 2 PMID: 25596152
- JAG1 protein expression was significant positive correlation with lymph node metastasis, pathological grades invasive ductal carcinoma of breast.JAG1 gene methylation level in breast cancer. PMID: 26971121
- these findings demonstrate that 50 microM EGCG protects against ox-LDL-induced endothelial dysfunction through the Jagged-1/Notch signaling pathway. PMID: 26648562
- PKCalpha Attenuates Jagged-1-Mediated Notch Signaling in ErbB-2-Positive Breast Cancer to Reverse Trastuzumab Resistance PMID: 26350262
- Immunohistochemical panel of CDX2, p120ctn, c-Myc, and Jagged1 proteins would be to distinguish between low/high grade dysplasia in histologically challenging cases of Barrett's esophagus. PMID: 26926447
- High Jagged1 expression is associated with colorectal cancer. PMID: 26406415
- High Jagged1 expression is associated with Prostatic Intraepithelial Neoplasia. PMID: 26341090
顯示更多
收起更多
-
相關疾病:Alagille syndrome 1 (ALGS1); Tetralogy of Fallot (TOF)
-
亞細胞定位:Membrane; Single-pass type I membrane protein.
-
組織特異性:Widely expressed in adult and fetal tissues. In cervix epithelium expressed in undifferentiated subcolumnar reserve cells and squamous metaplasia. Expression is up-regulated in cervical squamous cell carcinoma. Expressed in bone marrow cell line HS-27a wh
-
數據庫鏈接:
Most popular with customers
-
-
YWHAB Recombinant Monoclonal Antibody
Applications: ELISA, WB, IHC, IF, FC
Species Reactivity: Human, Mouse, Rat
-
Phospho-YAP1 (S127) Recombinant Monoclonal Antibody
Applications: ELISA, WB, IHC
Species Reactivity: Human
-
-
-
-
-













