EIF3B Recombinant Monoclonal Antibody
-
中文名稱:EIF3B Recombinant Monoclonal Antibody
-
貨號:CSB-RA249552A0HU
-
規格:¥1320
-
圖片:
-
Western Blot
, Positive WB detected in:K562 whole cell lysate(30μg), COLO-205 whole cell lysate(30μg), A431 whole cell lysate(30μg), HEK293 whole cell lysate(30μg)
All lanes: eIF3B antibody at 1:1000
Secondary
Goat polyclonal to rabbit IgG at 1/40000 dilution
Predicted band size: 92 kDa
Observed band size: 116 kDa
Exposure time:1min -
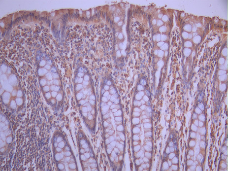
IHC image of CSB-RA249552A0HU diluted at 1:100 and staining in paraffin-embedded human small intestine tissue performed on a Leica BondTM system. After dewaxing and hydration, antigen retrieval was mediated by high pressure in a citrate buffer (pH 6.0). Section was blocked with 10% normal goat serum 30min at RT. Then primary antibody (1% BSA) was incubated at 4°C overnight. The primary is detected by a Goat anti-rabbit polymer IgG labeled by HRP and visualized using 0.05% DAB.
-
IHC image of CSB-RA249552A0HU diluted at 1:100 and staining in paraffin-embedded human liver cancer performed on a Leica BondTM system. After dewaxing and hydration, antigen retrieval was mediated by high pressure in a citrate buffer (pH 6.0). Section was blocked with 10% normal goat serum 30min at RT. Then primary antibody (1% BSA) was incubated at 4°C overnight. The primary is detected by a Goat anti-rabbit polymer IgG labeled by HRP and visualized using 0.05% DAB.
-
Immunofluorescence staining of NIH-3T3 cell with CSB-RA249552A0HU at 1:50 , counter-stained with DAPI. The cells were fixed in 4% formaldehyde, permeabilized using 0.2% Triton X-100 and blocked in 10% normal Goat Serum. The cells were then incubated with the antibody overnight at 4°C. The secondary antibody was Alexa Fluor 488-congugated AffiniPure Goat Anti-Rabbit IgG(H+L).
-
Overlay Peak curve showing 786-O cells stained with CSB-RA249552A0HU (red line) at 1:100. The cells were fixed in 4% formaldehyde and permeated by 0.2% TritonX-100 for 10min. Then 10% normal goat serum to block non-specific protein-protein interactions followed by the antibody (1ug/1*106cells) for 45min at 4℃. The secondary antibody used was FITC-conjugated goat anti-rabbit IgG (H+L) at 1/200 dilution for 35min at 4℃.Control antibody (green line) was Rabbit IgG (1ug/1*106cells) used under the same conditions. Acquisition of >10, 000 events was performed.
-
-
其他:
產品詳情
-
Uniprot No.:
-
基因名:EIF3B
-
別名:eIF-3-eta; eIF3 eta; eIF3 p110; eIF3 p116; EIF3-ETA; EIF3-P110; EIF3-P116; eIF3b; EIF3B_HUMAN; EIF3S9; EIF3S9; formerly; Eukaryotic translation initiation factor 3; subunit B; Eukaryotic translation initiation factor 3 subunit 9; eukaryotic translation initiation factor 3 subunit 9 eta; Eukaryotic translation initiation factor 3 subunit B; eukaryotic translation initiation factor 3; subunit 9 (eta; 116kD); eukaryotic translation initiation factor 3; subunit 9 eta; 116kDa; eukaryotic translation initiation factor 3; subunit 9; formerly; hPrt1; Protein synthesis defective at 36 degrees celsius 1; S. cerevisiae; homolog of; PRT1; Prt1 homolog
-
反應種屬:Human
-
免疫原:A synthesized peptide from human EIF3B protein
-
免疫原種屬:Homo sapiens (Human)
-
標記方式:Non-conjugated
-
克隆類型:Monoclonal
-
抗體亞型:Rabbit IgG
-
純化方式:Affinity-chromatography
-
克隆號:7E3
-
濃度:It differs from different batches. Please contact us to confirm it.
-
保存緩沖液:Rabbit IgG in 10mM phosphate buffered saline , pH 7.4, 150mM sodium chloride, 0.05% BSA, 0.02% sodium azide and 50% glycerol.
-
產品提供形式:Liquid
-
應用范圍:ELISA, WB, IHC, IF, FC
-
推薦稀釋比:
Application Recommended Dilution WB 1:500-1:5000 IHC 1:50-1:200 IF 1:50-1:200 FC 1:50-1:200 -
Protocols:
-
儲存條件:Upon receipt, store at -20°C or -80°C. Avoid repeated freeze.
-
貨期:Basically, we can dispatch the products out in 1-3 working days after receiving your orders. Delivery time maybe differs from different purchasing way or location, please kindly consult your local distributors for specific delivery time.
-
用途:For Research Use Only. Not for use in diagnostic or therapeutic procedures.
相關產品
靶點詳情
-
功能:RNA-binding component of the eukaryotic translation initiation factor 3 (eIF-3) complex, which is required for several steps in the initiation of protein synthesis. The eIF-3 complex associates with the 40S ribosome and facilitates the recruitment of eIF-1, eIF-1A, eIF-2:GTP:methionyl-tRNAi and eIF-5 to form the 43S pre-initiation complex (43S PIC). The eIF-3 complex stimulates mRNA recruitment to the 43S PIC and scanning of the mRNA for AUG recognition. The eIF-3 complex is also required for disassembly and recycling of post-termination ribosomal complexes and subsequently prevents premature joining of the 40S and 60S ribosomal subunits prior to initiation. The eIF-3 complex specifically targets and initiates translation of a subset of mRNAs involved in cell proliferation, including cell cycling, differentiation and apoptosis, and uses different modes of RNA stem-loop binding to exert either translational activation or repression.; (Microbial infection) In case of FCV infection, plays a role in the ribosomal termination-reinitiation event leading to the translation of VP2.
-
基因功能參考文獻:
- Study demonstrated that EIF3B expression was up-regulated in esophageal squamous cell carcinoma cells and negatively correlated with the prognosis of patients. PMID: 27270324
- Novel RNA-binding protein P311 binds eIF3b to promote translation of TGF-beta1, TGF-beta2, TGF-beta3. PMID: 25336651
- Report EIF3B binding within the IRES domain V of the coxsackie virus B3 mutant strain. PMID: 24063684
- eIF3b expression relates to human bladder and prostate cancer prognosis, is required for tumor growth, and thus a candidate therapeutic target. PMID: 23575475
- EIF3B promotes the proliferation of U87 human glioblastoma cells and may play an important role in human glioblastoma development. PMID: 22234522
- Yeast eIF3b exhibits RNA binding activity but huamn eIF3b doesn't. PMID: 20862284
- a conserved tryptophan residue in the human eIF3j N-terminal acidic motif (NTA) is held in the helix alpha1 and loop 5 hydrophobic pocket of the human eIF3b RNA recognition motif (RRM) PMID: 20060839
- structural analysis of the eIF3b RNA recognition motif and its interaction with eIF3j PMID: 17190833
顯示更多
收起更多
-
亞細胞定位:Cytoplasm.
-
蛋白家族:EIF-3 subunit B family
-
數據庫鏈接:
Most popular with customers
-
-
YWHAB Recombinant Monoclonal Antibody
Applications: ELISA, WB, IHC, IF, FC
Species Reactivity: Human, Mouse, Rat
-
Phospho-YAP1 (S127) Recombinant Monoclonal Antibody
Applications: ELISA, WB, IHC
Species Reactivity: Human
-
-
-
-
-















