TRABD2B Antibody
-
中文名稱:TRABD2B兔多克隆抗體
-
貨號:CSB-PA406235LA01HU
-
規格:¥440
-
圖片:
-
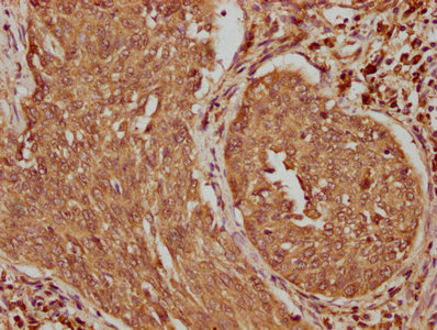
IHC image of CSB-PA406235LA01HU diluted at 1:100 and staining in paraffin-embedded human cervical cancer performed on a Leica BondTM system. After dewaxing and hydration, antigen retrieval was mediated by high pressure in a citrate buffer (pH 6.0). Section was blocked with 10% normal goat serum 30min at RT. Then primary antibody (1% BSA) was incubated at 4°C overnight. The primary is detected by a biotinylated secondary antibody and visualized using an HRP conjugated SP system.
-
Immunofluorescence staining of Hela cells with CSB-PA406235LA01HU at 1:50, counter-stained with DAPI. The cells were fixed in 4% formaldehyde, permeabilized using 0.2% Triton X-100 and blocked in 10% normal Goat Serum. The cells were then incubated with the antibody overnight at 4°C. The secondary antibody was Alexa Fluor 488-congugated AffiniPure Goat Anti-Rabbit IgG(H+L).
-
-
其他:
產品詳情
-
產品名稱:Rabbit anti-Homo sapiens (Human) TRABD2B Polyclonal antibody
-
Uniprot No.:
-
基因名:TRABD2B
-
別名:TRABD2B antibody; HKAT antibody; TIKI2 antibody; Metalloprotease TIKI2 antibody; EC 3.4.-.- antibody; Heart antibody; kidney and adipose-enriched transmembrane protein homolog antibody; TRAB domain-containing protein 2B antibody
-
宿主:Rabbit
-
反應種屬:Human
-
免疫原:Recombinant Human Metalloprotease TIKI2 protein (195-405AA)
-
免疫原種屬:Homo sapiens (Human)
-
標記方式:Non-conjugated
本頁面中的產品,TRABD2B Antibody (CSB-PA406235LA01HU),的標記方式是Non-conjugated。對于TRABD2B Antibody,我們還提供其他標記。見下表:
-
克隆類型:Polyclonal
-
抗體亞型:IgG
-
純化方式:Antigen Affinity Purified
-
濃度:It differs from different batches. Please contact us to confirm it.
-
保存緩沖液:Preservative: 0.03% Proclin 300
Constituents: 50% Glycerol, 0.01M PBS, pH 7.4 -
產品提供形式:Liquid
-
應用范圍:ELISA, IHC, IF
-
推薦稀釋比:
Application Recommended Dilution IHC 1:20-1:200 IF 1:50-1:200 -
Protocols:
-
儲存條件:Upon receipt, store at -20°C or -80°C. Avoid repeated freeze.
-
貨期:Basically, we can dispatch the products out in 1-3 working days after receiving your orders. Delivery time maybe differs from different purchasing way or location, please kindly consult your local distributors for specific delivery time.
-
用途:For Research Use Only. Not for use in diagnostic or therapeutic procedures.
相關產品
靶點詳情
-
功能:Metalloprotease that acts as a negative regulator of the Wnt signaling pathway by mediating the cleavage of the 8 N-terminal residues of a subset of Wnt proteins. Following cleavage, Wnt proteins become oxidized and form large disulfide-bond oligomers, leading to their inactivation. Able to cleave WNT3A, WNT5, but not WNT11. Required for head formation.
-
基因功能參考文獻:
- Results of the present study indicate that TIKI2 is upregulated in renal cell carcinoma tissues and plays an oncogenic role in renal cell carcinoma PMID: 26942462
- examination of the structural prediction and identification of the active site residues of human TIKI2 PMID: 26631728
- provided evidence that reduced expression of TIKI family protein in osteosarcoma may participate in the progression of osteosarcoma and restoring its expression was able to impair the growth of osteosarcoma PMID: 24771064
- Clinical trial of gene-disease association and gene-environment interaction. (HuGE Navigator) PMID: 20379614
-
亞細胞定位:Cell membrane; Single-pass type I membrane protein.
-
蛋白家族:TIKI family
-
數據庫鏈接:
Most popular with customers
-
-
YWHAB Recombinant Monoclonal Antibody
Applications: ELISA, WB, IHC, IF, FC
Species Reactivity: Human, Mouse, Rat
-
Phospho-YAP1 (S127) Recombinant Monoclonal Antibody
Applications: ELISA, WB, IHC
Species Reactivity: Human
-
-
-
-
-















