STK40 Antibody
-
中文名稱:STK40兔多克隆抗體
-
貨號:CSB-PA158011
-
規格:¥1100
-
圖片:
-
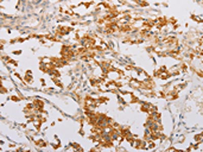
The image on the left is immunohistochemistry of paraffin-embedded Human thyroid cancer tissue using CSB-PA158011(STK40 Antibody) at dilution 1/40, on the right is treated with fusion protein. (Original magnification: ×200)
-
The image on the left is immunohistochemistry of paraffin-embedded Human lung cancer tissue using CSB-PA158011(STK40 Antibody) at dilution 1/40, on the right is treated with fusion protein. (Original magnification: ×200)
-
-
其他:
產品詳情
-
Uniprot No.:
-
基因名:
-
別名:STK40 antibody; SGK495 antibody; SHIK antibody; Serine/threonine-protein kinase 40 antibody; EC 2.7.11.1 antibody; SINK-homologous serine/threonine-protein kinase antibody; Sugen kinase 495 antibody; SgK495 antibody
-
宿主:Rabbit
-
反應種屬:Human,Mouse,Rat
-
免疫原:Fusion protein of Human STK40
-
免疫原種屬:Homo sapiens (Human)
-
標記方式:Non-conjugated
-
抗體亞型:IgG
-
純化方式:Antigen affinity purification
-
濃度:It differs from different batches. Please contact us to confirm it.
-
保存緩沖液:-20°C, pH7.4 PBS, 0.05% NaN3, 40% Glycerol
-
產品提供形式:Liquid
-
應用范圍:ELISA,IHC
-
推薦稀釋比:
Application Recommended Dilution ELISA 1:1000-1:5000 IHC 1:50-1:200 -
Protocols:
-
儲存條件:Upon receipt, store at -20°C or -80°C. Avoid repeated freeze.
-
貨期:Basically, we can dispatch the products out in 1-3 working days after receiving your orders. Delivery time maybe differs from different purchasing way or location, please kindly consult your local distributors for specific delivery time.
-
用途:For Research Use Only. Not for use in diagnostic or therapeutic procedures.
相關產品
靶點詳情
-
功能:May be a negative regulator of NF-kappa-B and p53-mediated gene transcription.
-
基因功能參考文獻:
- STK40 and LATS2 are conserved miR-31 target genes that have roles in regulation of keratinocyte growth and hair follicle biology PMID: 28419554
- Data indicate that STK40 was a direct target of microRNA miR-130a, and overexpressing miR-130a significantly upregulated NF-kappaB p65, SOX9, JNK and p38MAPK proteins. PMID: 28085489
- identification as a negative regulator of NF-kappaB- and p53-mediated gene transcription [SINK-homologous serine-threonine kinase] PMID: 13679039
-
亞細胞定位:Nucleus. Cytoplasm.
-
蛋白家族:Protein kinase superfamily, CAMK Ser/Thr protein kinase family
-
組織特異性:Strongly expressed in heart, brain, placenta, lung, skeletal muscle, kidney, spleen, thymus, prostate, liver, pancreas, testis, ovary, small intestine, colon and peripheral blood leukocytes.
-
數據庫鏈接:
Most popular with customers
-
-
YWHAB Recombinant Monoclonal Antibody
Applications: ELISA, WB, IHC, IF, FC
Species Reactivity: Human, Mouse, Rat
-
Phospho-YAP1 (S127) Recombinant Monoclonal Antibody
Applications: ELISA, WB, IHC
Species Reactivity: Human
-
-
-
-
-















