MCM5 Antibody
-
中文名稱:MCM5兔多克隆抗體
-
貨號:CSB-PA178630
-
規格:¥1100
-
圖片:
-
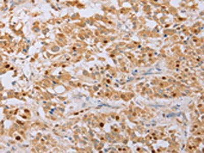
The image on the left is immunohistochemistry of paraffin-embedded Human lung cancer tissue using CSB-PA178630(MCM5 Antibody) at dilution 1/40, on the right is treated with fusion protein. (Original magnification: ×200)
-
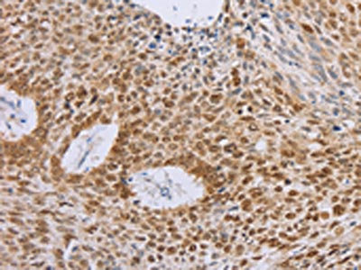
The image on the left is immunohistochemistry of paraffin-embedded Human thyroid cancer tissue using CSB-PA178630(MCM5 Antibody) at dilution 1/40, on the right is treated with fusion protein. (Original magnification: ×200)
-
Gel: 6%SDS-PAGE, Lysate: 40 μg, Lane 1-5: HepG2 cells, K562 cells, Jurkat cells, 231 cells, hela cells, Primary antibody: CSB-PA178630(MCM5 Antibody) at dilution 1/300, Secondary antibody: Goat anti rabbit IgG at 1/8000 dilution, Exposure time: 20 seconds
-
-
其他:
產品詳情
-
Uniprot No.:
-
基因名:
-
別名:CDC 46 antibody; CDC46 antibody; CDC46 homolog antibody; Cell division cycle 46 antibody; DNA replication licensing factor antibody; DNA replication licensing factor MCM 5 antibody; DNA replication licensing factor MCM5 antibody; MCM 5 antibody; MCM5 antibody; MCM5_HUMAN antibody; MGC5315 antibody; Minichromosome maintenance complex component 5 antibody; Minichromosome maintenance deficient (S. cerevisiae) 5 antibody; Minichromosome maintenance deficient 5 antibody; Minichromosome maintenance deficient protein 5 antibody; P1 CDC46 antibody; P1-CDC46 antibody
-
宿主:Rabbit
-
反應種屬:Human,Mouse
-
免疫原:Fusion protein of Human MCM5
-
免疫原種屬:Homo sapiens (Human)
-
標記方式:Non-conjugated
-
抗體亞型:IgG
-
純化方式:Antigen affinity purification
-
濃度:It differs from different batches. Please contact us to confirm it.
-
保存緩沖液:-20°C, pH7.4 PBS, 0.05% NaN3, 40% Glycerol
-
產品提供形式:Liquid
-
應用范圍:ELISA,WB,IHC
-
推薦稀釋比:
Application Recommended Dilution ELISA 1:1000-1:2000 WB 1:200-1:1000 IHC 1:50-1:200 -
Protocols:
-
儲存條件:Upon receipt, store at -20°C or -80°C. Avoid repeated freeze.
-
貨期:Basically, we can dispatch the products out in 1-3 working days after receiving your orders. Delivery time maybe differs from different purchasing way or location, please kindly consult your local distributors for specific delivery time.
-
用途:For Research Use Only. Not for use in diagnostic or therapeutic procedures.
相關產品
靶點詳情
-
功能:Acts as component of the MCM2-7 complex (MCM complex) which is the putative replicative helicase essential for 'once per cell cycle' DNA replication initiation and elongation in eukaryotic cells. The active ATPase sites in the MCM2-7 ring are formed through the interaction surfaces of two neighboring subunits such that a critical structure of a conserved arginine finger motif is provided in trans relative to the ATP-binding site of the Walker A box of the adjacent subunit. The six ATPase active sites, however, are likely to contribute differentially to the complex helicase activity.
-
基因功能參考文獻:
- Minichromosome maintenance 5 was shown as an independent prognostic biomarker for patients with cervical cancer PMID: 29642758
- MCM5 expression is associated with the malignant status and poor prognosis in cervical adenocarcinoma patients. PMID: 29253764
- The RAS-related nuclear protein ((P) ran), breast cancer metastasis suppressor 1 ((P) brms1) and minichromosome maintenance complex component 5 ((P) mcm5) promoters have the specificity and strength needed for cancer-specific expression-targeted gene therapy. PMID: 27140445
- the incorporation of physiological levels of MCM5 into HIV-1 virions facilitates viral cDNA accumulation in newly infected cells, probably by modifying nucleic acid configuration during reverse transcription. PMID: 27414250
- MCM5 is a novel gene involved in Meier-Gorlin syndrome. PMID: 28198391
- Our findings support the hypothesis that MCM5 targeting may be regarded as an effective molecular therapy against anaplastic thyroid carcinoma PMID: 26911376
- we could consider miRNA-10b and MCM5 mRNA as prognostic markers and potential therapeutic targets in breast cancer to be applied to other patient data sets. PMID: 25596707
- The increased expression of MCM5 protein begins at the oral pre-cancerous stage and is significantly associated with the aggressive progression and poor prognosis of OSCC. PMID: 24245508
- Data indicate that MCM-BP binds USP7 on chromatin and can mediate an interaction between the USP7 and MCM proteins. PMID: 24190967
- The results of this study demonistrated that Mcm5 shows a highly significant correlation with Alcohol use disorders-induced decreases in the volume of the left parietal supramarginal gyrus and neuropsychological measures. PMID: 23095216
- MicroRNA miR-885-5p targets CDK2 and MCM5, activates p53 and inhibits proliferation and survival. PMID: 21233845
- lack of MCM5 proteins expression which may explain commonly known low mitotic activity of desmoid tumour cells PMID: 21478101
- MCM-5 expression was significantly associated with tumor size, presence of lymph node metastases and tumor histopathological stage. Patients with high MCM-5 expression had significantly shorter survival times. PMID: 20694513
- Could use the urinary hTERT, SENP1, PPP1CA, and MCM5 mRNA to detect bladder cancer recurrence. PMID: 21106093
- Results further confirm the importance of MCM5 in malignant transformation and in the pathogenesis of cervical dysplasia. PMID: 15696126
- The DNA replication factor MCM5 is essential for Stat1-mediated transcriptional activation. PMID: 16199513
- MCM5 is part of the GINS complex. PMID: 17557111
- results demonstrate pattern and frequency of MCM5 expression in various skin diseases PMID: 17988337
- Immunofluorescence technology to quantify cervical cell expression of two biomarkers p16(INK4A) and Mcm5 was developed and evaluated by both microscopy and flow cytometry. PMID: 18181189
- No significant association was observed between MCM-5 protein expression and the clinicopathological characteristics of colon cancer examined. PMID: 18465232
- Cyclin E is shown to directly interact with and colocalize on centrosomes with the DNA replication factor MCM5 in a centrosomal localization sequence-dependent but Cdk2-independent manner. PMID: 18799789
- Analysis of MCM5 expression in aggressive fibromatosis (desmoid tumor) is reported. PMID: 19130399
顯示更多
收起更多
-
相關疾病:Meier-Gorlin syndrome 8 (MGORS8)
-
亞細胞定位:Nucleus. Chromosome. Cytoplasm, cytosol.
-
蛋白家族:MCM family
-
數據庫鏈接:
Most popular with customers
-
-
YWHAB Recombinant Monoclonal Antibody
Applications: ELISA, WB, IHC, IF, FC
Species Reactivity: Human, Mouse, Rat
-
Phospho-YAP1 (S127) Recombinant Monoclonal Antibody
Applications: ELISA, WB, IHC
Species Reactivity: Human
-
-
-
-
-















