SIRT2
SIRT2,全稱為沉默信息調節因子2,該蛋白在細胞分化、代謝調控、細胞周期控制等方面發揮著重要作用。SIRT2蛋白能夠通過去乙?;揎椂喾N底物,包括組蛋白、α-微管蛋白以及一些關鍵的轉錄因子,從而影響這些底物的活性和穩定性。在神經元中,SIRT2蛋白主要定位于細胞質,參與調控微管的穩定性,對神經元的發育和功能至關重要。研究表明,SIRT2蛋白的表達水平與年齡增長相關,在老年小鼠的腦和脊髓中,SIRT2蛋白的表達量會隨著年齡的增長而增加,這可能與神經退行性疾病的發生發展有關。
SIRT2蛋白在多種疾病中發揮重要作用,包括神經退行性疾病、代謝性疾病和腫瘤等。例如,SIRT2蛋白的過表達可以促進腸上皮細胞、角質形成細胞和結直腸癌細胞的分化,而在成肌細胞、前體脂肪細胞等細胞中,SIRT2蛋白的過表達則可能抑制細胞的分化。此外,SIRT2蛋白還與炎癥、氧化應激等病理過程密切相關?;赟IRT2蛋白的這些特性,研究人員已經開發了多種針對SIRT2蛋白的小分子抑制劑,用于治療神經退行性疾病、代謝性疾病和腫瘤等疾病。這些抑制劑在臨床前研究中顯示出良好的治療效果,有望成為治療這些疾病的新型藥物。
熱銷產品
SIRT2 Recombinant Monoclonal Antibody (CSB-RA061500A0HU)
驗證數據
Western Blot
,
Positive WB detected in:U251 whole cell lysate(30μg), Jurkat whole cell lysate(30μg), COLO205 whole cell lysate(30μg), HEK293 whole cell lysate(30μg)
All lanes: SIRT2 antibody at 1:1000
Secondary
Goat polyclonal to rabbit IgG at 1/40000 dilution
Predicted band size: 43 kDa
Observed band size: 36, 43 kDa
Exposure time:120s
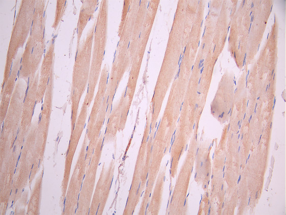
IHC image of CSB-RA061500A0HU diluted at 1:100 and staining in paraffin-embedded human skeletal muscle tissue performed on a Leica BondTM system. After dewaxing and hydration, antigen retrieval was mediated by high pressure in a citrate buffer (pH 6.0). Section was blocked with 10% normal goat serum 30min at RT. Then primary antibody (1% BSA) was incubated at 4°C overnight. The primary is detected by a Goat anti-rabbit polymer IgG labeled by HRP and visualized using 0.05% DAB.
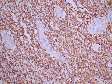
IHC image of CSB-RA061500A0HU diluted at 1:100 and staining in paraffin-embedded human glioma cancer performed on a Leica BondTM system. After dewaxing and hydration, antigen retrieval was mediated by high pressure in a citrate buffer (pH 6.0). Section was blocked with 10% normal goat serum 30min at RT. Then primary antibody (1% BSA) was incubated at 4°C overnight. The primary is detected by a Goat anti-rabbit polymer IgG labeled by HRP and visualized using 0.05% DAB.
Immunofluorescence staining of HepG2 cell with CSB-RA061500A0HU at 1:50 , counter-stained with DAPI. The cells were fixed in 4% formaldehyde, permeabilized using 0.2% Triton X-100 and blocked in 10% normal Goat Serum. The cells were then incubated with the antibody overnight at 4°C. The secondary antibody was Alexa Fluor 488-congugated AffiniPure Goat Anti-Rabbit IgG(H+L).
SIRT2 Antibody (CSB-PA812889LA01HU)
驗證數據
Immunohistochemistry of paraffin-embedded human skeletal muscle tissue using CSB-PA812889LA01HU at dilution of 1:100
Immunofluorescent analysis of Hela cells using CSB-PA812889LA01HU at dilution of 1:100 and Alexa Fluor 488-congugated AffiniPure Goat Anti-Rabbit IgG(H+L)
SIRT2 Antibodies
SIRT2 for Homo sapiens (Human)
| 產品貨號 | 產品名稱 | 種屬反應性 | 應用類型 |
|---|---|---|---|
| CSB-PA058584 | SIRT2 Antibody | Human | ELISA,WB |
| CSB-PA008284 | SIRT2 Antibody | Human,Mouse,Rat | WB, ELISA |
| CSB-PA157595 | SIRT2 Antibody | Human,Mouse,Rat | ELISA,WB |
| CSB-PA088519 | SIRT2 Antibody | Human,Mouse,Rat | ELISA,WB |
| CSB-PA812889LA01HU | SIRT2 Antibody | Human | ELISA, IHC, IF |
| CSB-PA812889LB01HU | SIRT2 Antibody, HRP conjugated | Human | ELISA |
| CSB-PA812889LC01HU | SIRT2 Antibody, FITC conjugated | Human | |
| CSB-PA812889LD01HU | SIRT2 Antibody, Biotin conjugated | Human | ELISA |
| CSB-RA061500A0HU | SIRT2 Recombinant Monoclonal Antibody | Human | ELISA, WB, IHC, IF |
SIRT2 Proteins
SIRT2 Proteins for Homo sapiens (Human)
| 產品貨號 | 產品名稱 | 來源 |
|---|---|---|
| CSB-YP812889HU CSB-EP812889HU CSB-BP812889HU CSB-MP812889HU CSB-EP812889HU-B |
Recombinant Human NAD-dependent protein deacetylase sirtuin-2 (SIRT2) | Yeast E.coli Baculovirus Mammalian cell In Vivo Biotinylation in E.coli |






