PPCS Recombinant Monoclonal Antibody
-
中文名稱:PPCS Recombinant Monoclonal Antibody
-
貨號:CSB-RA790244A0HU
-
規格:¥1320
-
圖片:
-
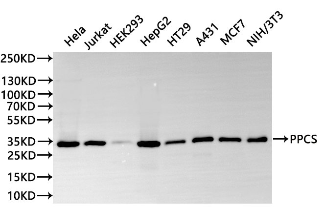
Western Blot
Positive WB detected in: Hela whole cell lysate(30μg), Jurkat whole cell lysate(30μg), HEK293 whole cell lysate(30μg), HepG2 whole cell lysate(30μg), HT-29 whole cell lysate(30μg), A431 whole cell lysate(30μg), MCF-7 whole cell lysate(30μg), NIH/3T3 whole cell lysate(30μg)
All lanes: PPCS antibody at 1:1000
Secondary
Goat polyclonal to rabbit IgG at 1/40000 dilution
Predicted band size: 34 kDa
Observed band size: 34 kDa
Exposure time:10s -
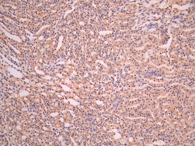
IHC image of CSB-RA790244A0HU diluted at 1:100 and staining in paraffin-embedded mouse kidney tissue performed on a Leica BondTM system. After dewaxing and hydration, antigen retrieval was mediated by high pressure in a citrate buffer (pH 6.0). Section was blocked with 10% normal goat serum 30min at RT. Then primary antibody (1% BSA) was incubated at 4°C overnight. The primary is detected by a Goat anti-rabbit polymer IgG labeled by HRP and visualized using 0.05% DAB.
-
-
其他:
產品詳情
-
Uniprot No.:
-
基因名:PPCS
-
別名:COAB antibody; FLJ11838 antibody; MGC117357 antibody; MGC138220 antibody; OTTHUMP00000008433 antibody; Phosphopantothenate--cysteine ligase antibody; Phosphopantothenoylcysteine synthetase antibody; PPC synthetase antibody; Ppcs antibody; PPCS_HUMAN antibody; RP11-163G10.1 antibody
-
反應種屬:Human, Mouse
-
免疫原:A synthesized peptide from human PPCS protein
-
免疫原種屬:Homo sapiens (Human)
-
標記方式:Non-conjugated
-
克隆類型:Monoclonal
-
抗體亞型:Rabbit IgG
-
純化方式:Affinity-chromatography
-
克隆號:6D12
-
濃度:It differs from different batches. Please contact us to confirm it.
-
保存緩沖液:Rabbit IgG in 10mM phosphate buffered saline , pH 7.4, 150mM sodium chloride, 0.05% BSA, 0.02% sodium azide and 50% glycerol.
-
產品提供形式:Liquid
-
應用范圍:ELISA, WB, IHC
-
推薦稀釋比:
Application Recommended Dilution WB 1:500-1:5000 IHC 1:50-1:200 -
Protocols:
-
儲存條件:Upon receipt, store at -20°C or -80°C. Avoid repeated freeze.
-
貨期:Basically, we can dispatch the products out in 1-3 working days after receiving your orders. Delivery time maybe differs from different purchasing way or location, please kindly consult your local distributors for specific delivery time.
-
用途:For Research Use Only. Not for use in diagnostic or therapeutic procedures.
相關產品
靶點詳情
-
功能:Catalyzes the second step in the biosynthesis of coenzyme A from vitamin B5, where cysteine is conjugated to 4'-phosphopantothenate to form 4-phosphopantothenoylcysteine. Has a preference for ATP over CTP as a cosubstrate.
-
基因功能參考文獻:
- Exome sequencing in five individuals from two unrelated families presenting with dilated cardiomyopathy revealed biallelic mutations in PPCS. PMID: 29754768
- Oxygen transfer studies found that 18O from [carboxyl-18O] phosphopantothenate is incorporated into AMP or CMP produced during PPCS catalysis, consistent with the formation of a phosphopantothenoyl cytidylate or phosphopantothenoyl adenylate intermediate PMID: 19683078
-
蛋白家族:PPC synthetase family
-
數據庫鏈接:
Most popular with customers
-
-
YWHAB Recombinant Monoclonal Antibody
Applications: ELISA, WB, IHC, IF, FC
Species Reactivity: Human, Mouse, Rat
-
Phospho-YAP1 (S127) Recombinant Monoclonal Antibody
Applications: ELISA, WB, IHC
Species Reactivity: Human
-
-
-
-
-















