MED4 Recombinant Monoclonal Antibody
-
中文名稱:MED4 Recombinant Monoclonal Antibody
-
貨號:CSB-RA562365A0HU
-
規格:¥1320
-
圖片:
-
Western Blot
, Positive WB detected in:MCF7 whole cell lysate(30μg), HEK293 whole cell lysate(30μg), U87 whole cell lysate(30μg), SH-SY5Y whole cell lysate(30μg), Hela whole cell lysate(30μg), Jurkat whole cell lysate(30μg), 4T1 whole cell lysate(30μg), Rat liver tissue lysate(30μg)
All lanes: MED4 antibody at 1:1000
Secondary
Goat polyclonal to rabbit IgG at 1/40000 dilution
Predicted band size: 30 kDa
Observed band size: 30 kDa
Exposure time:10s -
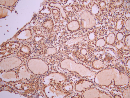
IHC image of CSB-RA562365A0HU diluted at 1:100 and staining in paraffin-embedded human thyroid tissue performed on a Leica BondTM system. After dewaxing and hydration, antigen retrieval was mediated by high pressure in a citrate buffer (pH 6.0). Section was blocked with 10% normal goat serum 30min at RT. Then primary antibody (1% BSA) was incubated at 4°C overnight. The primary is detected by a Goat anti-rabbit polymer IgG labeled by HRP and visualized using 0.05% DAB.
-
IHC image of CSB-RA562365A0HU diluted at 1:100 and staining in paraffin-embedded human colorectal cancer performed on a Leica BondTM system. After dewaxing and hydration, antigen retrieval was mediated by high pressure in a citrate buffer (pH 6.0). Section was blocked with 10% normal goat serum 30min at RT. Then primary antibody (1% BSA) was incubated at 4°C overnight. The primary is detected by a Goat anti-rabbit polymer IgG labeled by HRP and visualized using 0.05% DAB.
-
Overlay Peak curve showing SH-SY5Y cells stained with CSB-RA562365A0HU (red line) at 1:100. The cells were fixed in 4% formaldehyde and permeated by 0.2% TritonX-100 for 10min. Then 10% normal goat serum to block non-specific protein-protein interactions followed by the antibody (1ug/1*106cells) for 45min at 4℃. The secondary antibody used was FITC-conjugated goat anti-rabbit IgG (H+L) at 1/200 dilution for 35min at 4℃.Control antibody (green line) was Rabbit IgG (1ug/1*106cells) used under the same conditions. Acquisition of >10, 000 events was performed.
-
-
其他:
產品詳情
-
Uniprot No.:
-
基因名:MED4
-
別名:Activator-recruited cofactor 36 kDa component antibody; ARC36 antibody; DRIP36 antibody; FLJ10956 antibody; HSPC126 antibody; med4 antibody; MED4_HUMAN antibody; Mediator complex subunit 4 antibody; Mediator of RNA polymerase II transcription subunit 4 antibody; Mediator of RNA polymerase II transcription, subunit 4 homolog antibody; OTTHUMP00000018390 antibody; OTTHUMP00000018391 antibody; OTTHUMP00000018392 antibody; RP11-90M2.2 antibody; TRAP/SMCC/PC2 subunit p36 subunit antibody; TRAP36 antibody; VDRIP antibody; Vitamin D3 receptor-interacting protein complex 36 kDa component antibody
-
反應種屬:Human, Rat
-
免疫原:A synthesized peptide from human MED4 protein
-
免疫原種屬:Homo sapiens (Human)
-
標記方式:Non-conjugated
-
克隆類型:Monoclonal
-
抗體亞型:Rabbit IgG
-
純化方式:Affinity-chromatography
-
克隆號:14C5
-
濃度:It differs from different batches. Please contact us to confirm it.
-
保存緩沖液:Rabbit IgG in 10mM phosphate buffered saline , pH 7.4, 150mM sodium chloride, 0.05% BSA, 0.02% sodium azide and 50% glycerol.
-
產品提供形式:Liquid
-
應用范圍:ELISA, WB, IHC, FC
-
推薦稀釋比:
Application Recommended Dilution WB 1:500-1:5000 IHC 1:50-1:200 FC 1:50-1:200 -
Protocols:
-
儲存條件:Upon receipt, store at -20°C or -80°C. Avoid repeated freeze.
-
貨期:Basically, we can dispatch the products out in 1-3 working days after receiving your orders. Delivery time maybe differs from different purchasing way or location, please kindly consult your local distributors for specific delivery time.
-
用途:For Research Use Only. Not for use in diagnostic or therapeutic procedures.
相關產品
靶點詳情
-
功能:Component of the Mediator complex, a coactivator involved in the regulated transcription of nearly all RNA polymerase II-dependent genes. Mediator functions as a bridge to convey information from gene-specific regulatory proteins to the basal RNA polymerase II transcription machinery. Mediator is recruited to promoters by direct interactions with regulatory proteins and serves as a scaffold for the assembly of a functional preinitiation complex with RNA polymerase II and the general transcription factors.
-
基因功能參考文獻:
- retinoblastoma RB1 -/- cells cannot survive in the absence of MED4, both in vitro and in orthotopic xenograft models in vivo, therefore identifying MED4 as a survival gene in retinoblastoma. PMID: 24858910
- Our findings suggest that Vitamin D Receptor polymorphisms may be associated with nasal carriage of S. aureus in individuals with type 1 diabetes. PMID: 19411183
-
亞細胞定位:Nucleus.
-
蛋白家族:Mediator complex subunit 4 family
-
數據庫鏈接:
Most popular with customers
-
-
Phospho-YAP1 (S127) Recombinant Monoclonal Antibody
Applications: ELISA, WB, IHC
Species Reactivity: Human
-
-
-
-
-
-















