ILF2 Recombinant Monoclonal Antibody
-
中文名稱:ILF2 Recombinant Monoclonal Antibody
-
貨號:CSB-RA145432A0HU
-
規格:¥1320
-
圖片:
-
Western Blot
Positive WB detected in: Hela whole cell lysate(30μg), Jurkat whole cell lysate(30μg), Raji whole cell lysate(30μg), MCF-7 whole cell lysate(30μg), HepG2 whole cell lysate(30μg), PC-3 whole cell lysate(30μg), A431 whole cell lysate(30μg)
All lanes: ILF2 antibody at 1:1000
Secondary
Goat polyclonal to rabbit IgG at 1/40000 dilution
Predicted band size: 43 kDa
Observed band size: 43 kDa
Exposure time:20s -
IHC image of CSB-RA145432A0HU diluted at 1:100 and staining in paraffin-embedded human brain tissue performed on a Leica BondTM system. After dewaxing and hydration, antigen retrieval was mediated by high pressure in a citrate buffer (pH 6.0). Section was blocked with 10% normal goat serum 30min at RT. Then primary antibody (1% BSA) was incubated at 4°C overnight. The primary is detected by a Goat anti-rabbit polymer IgG labeled by HRP and visualized using 0.05% DAB.
-
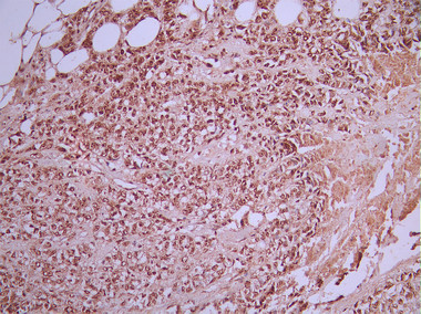
IHC image of CSB-RA145432A0HU diluted at 1:100 and staining in paraffin-embedded human breast cancer performed on a Leica BondTM system. After dewaxing and hydration, antigen retrieval was mediated by high pressure in a citrate buffer (pH 6.0). Section was blocked with 10% normal goat serum 30min at RT. Then primary antibody (1% BSA) was incubated at 4°C overnight. The primary is detected by a Goat anti-rabbit polymer IgG labeled by HRP and visualized using 0.05% DAB.
-
Overlay Peak curve showing SH-SY5Y cells stained with CSB-RA145432A0HU (red line) at 1:100. The cells were fixed in 4% formaldehyde and permeated by 0.2% TritonX-100 for 10min. Then 10% normal goat serum to block non-specific protein-protein interactions followed by the antibody (1ug/1*106cells) for 45min at 4℃. The secondary antibody used was FITC-conjugated goat anti-rabbit IgG (H+L) at 1/200 dilution for 35min at 4℃.Control antibody (green line) was Rabbit IgG (1ug/1*106cells) used under the same conditions. Acquisition of >10, 000 events was performed.
-
-
其他:
產品詳情
-
Uniprot No.:
-
基因名:ILF2
-
別名:HGNC:6037 antibody; ILF 2 antibody; ilf2 antibody; ILF2_HUMAN antibody; Interleukin enhancer binding factor 2 antibody; Interleukin enhancer binding factor 2; 45kDa antibody; Interleukin enhancer-binding factor 2 antibody; MGC8391 antibody; NF 45 antibody; NF45 antibody; Nuclear factor of activated T cells 45 kDa antibody; Nuclear factor of activated T-cells 45 kDa antibody; PRO3063 antibody
-
反應種屬:Human
-
免疫原:A synthesized peptide from human ILF2 protein
-
免疫原種屬:Homo sapiens (Human)
-
標記方式:Non-conjugated
-
克隆類型:Monoclonal
-
抗體亞型:Rabbit IgG
-
純化方式:Affinity-chromatography
-
克隆號:8F2
-
濃度:It differs from different batches. Please contact us to confirm it.
-
保存緩沖液:Rabbit IgG in 10mM phosphate buffered saline , pH 7.4, 150mM sodium chloride, 0.05% BSA, 0.02% sodium azide and 50% glycerol.
-
產品提供形式:Liquid
-
應用范圍:ELISA, WB, IHC, FC
-
推薦稀釋比:
Application Recommended Dilution WB 1:500-1:5000 IHC 1:50-1:200 FC 1:50-1:200 -
Protocols:
-
儲存條件:Upon receipt, store at -20°C or -80°C. Avoid repeated freeze.
-
貨期:Basically, we can dispatch the products out in 1-3 working days after receiving your orders. Delivery time maybe differs from different purchasing way or location, please kindly consult your local distributors for specific delivery time.
-
用途:For Research Use Only. Not for use in diagnostic or therapeutic procedures.
相關產品
靶點詳情
-
功能:Appears to function predominantly as a heterodimeric complex with ILF3. This complex may regulate transcription of the IL2 gene during T-cell activation. It can also promote the formation of stable DNA-dependent protein kinase holoenzyme complexes on DNA. Essential for the efficient reshuttling of ILF3 (isoform 1 and isoform 2) into the nucleus.
-
基因功能參考文獻:
- this study identifies a new role of ILF2 in the regulation of the NLRP3 inflammasome. PMID: 29655789
- High expression of ILF2 was tightly correlated with lymph node metastasis, pathological stage and poor clinical prognosis in gastric cancer. PMID: 28831206
- ILF2 interacts with RNA-binding proteins involved in the DNA damage response. PMID: 28669490
- The data suggest that features of both the N- and C-termini of NF90 participate in the heterodimerization with NF45 and that the formation of NF90-NF45 changes the conformation of NF90's RNA-binding motifs to a status in which the co-operative interplay of the RNA-binding motifs is optimal. PMID: 28062840
- NF90-NF45 stimulates an elevation of EGF receptor levels via the suppression of miR-7 biogenesis, resulting in the promotion of cell proliferation in Hepatocellular Carcinoma. PMID: 27519414
- The results revealed that ILF2 is regulated by miR-7 and suggest that downregulation of miR-7 may be an important factor for the ILF2 overexpression in pancreatic carcinoma. PMID: 28259961
- Deletion of the RNA binding domains of NF45 and NF90 diminished the enhancement of HIV infection and gene expression. PMID: 26891316
- NF45 overexpression is associated with poor prognosis and enhanced cell proliferation of pancreatic ductal adenocarcinoma. PMID: 26276310
- Upregulated expression of ILF2 in non-small cell lung cancer is associated with tumor cell proliferation and poor prognosis PMID: 26059795
- The RNA binding complexes NF45-NF90 and NF45-NF110 associate dynamically with the c-fos gene and function as transcriptional coactivators. PMID: 26381409
- NF45 and NF90 are novel higher-eukaryote-specific factors required for the maturation of 60S ribosomal subunits. PMID: 26240280
- These findings suggested that NF45 might play an important role in promoting the tumorigenesis of ESCC, and thus be a promising therapeutic target to prevent ESCC progression. PMID: 25286760
- These results suggest a novel molecular mechanism for the modulation of RNA granule assembly and disassembly by NFAR2, NF45, and phosphorylation at double-stranded RNA-activated kinase PKR sites. PMID: 24920670
- These findings indicate that NF45 plays an important role in the growth regulation of glioma cells PMID: 25023405
- AU-rich 5' UTRs harboring internal ribosome entry sites are regulated by NF45. NF45 regulates XIAP protein levels through interaction with its IRES. PMID: 23129811
- The NF90/NF45 complex participates in DNA break repair via nonhomologous end joining PMID: 21969602
- ILF2 recruits a DNA-associated replication and transcription complex, of which it is a part, to its target DNA sequence. PMID: 20808282
- The data presented are consistent with a model in which translation of cIAP1 is governed, at least in part, by NF45, a novel cellular IRES trans-acting factor. PMID: 19893574
- plays important role in protein priming of HBV polymerase PMID: 11958450
- NF45 is a is a highly conserved transcriptional activator of the gene IL-2. PMID: 15817156
- Cell growth is retarded and giant multinucleated cells accumulate when the expression of NF45 or NF90, but not NF110, is reduced in HeLa cells. PMID: 18458058
- Results suggest that the association of the NF90-NF45 complex with pri-miRNAs impairs access of the Microprocessor complex to the pri-miRNAs, resulting in a reduction of mature miRNA production. PMID: 19398578
顯示更多
收起更多
-
亞細胞定位:Nucleus, nucleolus. Cytoplasm. Nucleus. Note=Localized in cytoplasmic mRNP granules containing untranslated mRNAs.
-
數據庫鏈接:
Most popular with customers
-
-
YWHAB Recombinant Monoclonal Antibody
Applications: ELISA, WB, IHC, IF, FC
Species Reactivity: Human, Mouse, Rat
-
Phospho-YAP1 (S127) Recombinant Monoclonal Antibody
Applications: ELISA, WB, IHC
Species Reactivity: Human
-
-
-
-
-















