EIF4EBP1 Recombinant Monoclonal Antibody
-
中文名稱:EIF4EBP1 Recombinant Monoclonal Antibody
-
貨號:CSB-RA982684A0HU
-
規格:¥1320
-
圖片:
-
Flow cytometric analysis of EIF4EBP1 expression in HAP-1 cells using EIF4EBP1 antibody. Green, isotype control; red, EIF4EBP1.
-
Immunocytochemical staining of HAP-1 cells with EIF4EBP1 antibody. Nuclei were stained blue with DAPI; EIF4EBP1 was stained magenta with Alexa Fluor? 647. Images were taken using Leica stellaris 5. Protein abundance based on laser Intensity and smart gain: Medium. Scale bar, 20 μm.
-
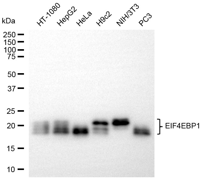
Western blotting analysis using EIF4EBP1 antibody. Total cell lysates (30 μg) from various cell lines were loaded and separated by SDS-PAGE. The blot was incubated with EIF4EBP1 antibody and HRP-conjugated goat anti-rabbit secondary antibody respectively.
-
-
其他:
產品詳情
-
Uniprot No.:
-
基因名:
-
別名:EIF4EBP1; Eukaryotic Translation Initiation Factor 4E Binding Protein 1; PHAS-I; 4E-BP1; Phosphorylated Heat- And Acid-Stable Protein Regulated By Insulin 1; Eukaryotic Translation Initiation Factor 4E-Binding Protein 1; EIF4E-Binding Protein 1; 4EBP1; BP-1
-
反應種屬:Human, Mouse, Rat
-
免疫原:Recombinant Human EIF4EBP1 protein
-
免疫原種屬:Homo sapiens (Human)
-
標記方式:Non-conjugated
-
克隆類型:Monoclonal
-
抗體亞型:Rabbit IgG
-
純化方式:Affinity-chromatography
-
克隆號:8C9
-
濃度:It differs from different batches. Please contact us to confirm it.
-
保存緩沖液:Rabbit IgG in PBS (pH 7.4) containing 50% glycerol, and 0.02% sodium azide.
-
產品提供形式:Liquid
-
應用范圍:ELISA, WB, FC, ICC
-
推薦稀釋比:
Application Recommended Dilution WB 1:1000-1:5000 FC 1:200-1:2000 ICC 1:100-1:1000 -
Protocols:
-
儲存條件:Upon receipt, store at -20°C or -80°C. Avoid repeated freeze.
-
貨期:Basically, we can dispatch the products out in 1-3 working days after receiving your orders. Delivery time maybe differs from different purchasing way or location, please kindly consult your local distributors for specific delivery time.
-
用途:For Research Use Only. Not for use in diagnostic or therapeutic procedures.
相關產品
靶點詳情
-
功能:Repressor of translation initiation that regulates EIF4E activity by preventing its assembly into the eIF4F complex: hypophosphorylated form competes with EIF4G1/EIF4G3 and strongly binds to EIF4E, leading to repress translation. In contrast, hyperphosphorylated form dissociates from EIF4E, allowing interaction between EIF4G1/EIF4G3 and EIF4E, leading to initiation of translation. Mediates the regulation of protein translation by hormones, growth factors and other stimuli that signal through the MAP kinase and mTORC1 pathways.
-
基因功能參考文獻:
- L-type amino acid transporter 1 (LAT1) inhibitor, BCH reduces the phosphorylation of mechanistic target of rapamycin kinase (mTOR) downstream target eukaryotic translation initiation factor 4E binding protein 1 (4EBP1) in fibroblast-like synoviocytes from patients with rheumatoid arthritis. Silencing eIF4E neutralized the stimulation of interleukin-17 on LAT1. PMID: 29198077
- Using an mTORspecific signalling pathway phospho array we revealed that NVPBEZ235 significantly decreased phosphorylation of 4EBP1 (Thr70), the downstream target of mTORC1. PMID: 29845289
- High p-4E-BP1 expression was significantly associated with lymphovascular invasion (LVI) (p=0.003), perineural invasion (PNI) (p=0.001), tumor stage (p=0.024), nodal stage (p=0.000), metastatic status (p=0.027), and disease stage (p=0.001). PMID: 28242042
- Numerous protein kinases can be responsible for mTOR independent 4E-BP1 phosphorylation in cancer. (Review) PMID: 28427795
- PI3K kinase activity is necessary for maintaining 4E-BP1 stability. Our results also suggest 4E-BP1 a novel biological role of regulating cell cycle G2 checkpoint in responding to IR stress in association with controlling CHK2 phosphorylation PMID: 28539821
- Findings suggest that mitotic CDK1-directed phosphorylation of delta-4E-BP1 may yield a gain of function, distinct from translation regulation, that may be important in tumorigenesis and mitotic centrosome function. PMID: 27402756
- p4EBP1 was independently predictive for pathologic complete response in PIK3CA wild-type tumors. PMID: 26758558
- Data show that 4EGI-1 compound induced apoptosis in nasopharyngeal carcinoma cells through the death receptor 5 (DR5) on 4E-BP1 dephosphorylation exerting positive influence on their anti-tumor activities. PMID: 26942880
- p4EBP1 overexpression was predominant in patients with metastasis to the regional lymph nodes in colorectal cancer. Moderate/high expression of p4EBP1 protein was significantly associated with adverse overall survival (OS) in patients. PMID: 28339030
- Rotterlin inhibits mTORC1 and 4EBP1 activity in melanoma cells, inhibiting protein synthesis and promoting cell death. PMID: 27343979
- p-4E-BP1 is more highly expressed in early gastric cancers than in advanced ones, and has limited potential as an independent prognostic biomarker in patients with gastric cancer. PMID: 25661069
- this study shows that anticancer activity of perillyl alcohol is mediated via inhibition of 4E-BP1 signaling PMID: 27394002
- 4EBP1 may serve as a funnel factor that converge the upstream proliferative oncogenic signals. PMID: 27026382
- Increased expression of miR-125a is associated with invasion and migration in ovarian cancer. PMID: 26646586
- 4E-BP1 was shown to be phosphorylated by other kinases besides mTOR, and overexpression of 4E-BP1 was found in different human carcinomas. (Review) PMID: 26901143
- Twist1 is correlated with p-4E-BP1 in predicting the prognostic outcome of NSCLC. PMID: 26360779
- Increased 4EBP1 abundance was a common feature in prostate cancer patients who had been treated with the PI3K pathway inhibitor BKM120; thus, 4EBP1 may be associated with drug resistance in human tumors PMID: 26577921
- results suggest that respiratory syncytial virus is a virus that still contains unknown mechanisms involved in the translation of their mRNAs through the alteration or modification of some translation factors, such as 4EBP1, possibly to favor its replicative PMID: 26305094
- eIF4E binding protein 1 expression has a role in clinical survival outcomes in colorectal cancer PMID: 26204490
- It was concluded that over-activation of the mTORC1/4E-BP1/p21 pathway is a frequent and clinically relevant alteration in head and neck squamous cell carcinomas. PMID: 26832959
- The aim of the present work was to probe the conformation of the intrinsically disordered protein 4E-BP1 in the native and partly folded states by limited proteolysis and to reveal regions with a high propensity to form an ordered structure. PMID: 24122746
- Taken together, these results highlight the potential dependence of eIF4G overexpression and 4E-BP1 phosphorylation in CLL survival. PMID: 25999352
- Results suggest that blocking both the mTOR kinase downstream targets 4E-BP1 protein and p70 S6 kinase 1, but not p70 S6 kinase 1 alone, prevents the migration of retinal pigment epithelium (RPE) cells. PMID: 26427479
- phosphorylation site affected the prognostic significance of 4EBP1 in non-small cell lung cancer. PMID: 26097581
- 4EBP1 is not completely unstructured, but contains a pre-structured helix. PMID: 25431930
- inactivation of 4E-BP1 using Ku-0063794 may be a promising novel approach for muscle-invasive bladder cancer PMID: 25618298
- mTORC1 regulates cell adhesion through S6K1 and 4E-BP1 pathways, but mTORC2 regulates cell adhesion via Akt-independent mechanism PMID: 25762619
- mitotic cap-dependent translation is generally sustained during mitosis by CDK1 phosphorylation of 4E-BP1 even under conditions of reduced mTOR signaling PMID: 25883264
- In colorectal carcinoma, total expression levels of 4E-BP1 increased only in the premalignant state of the disease and decreased (but highly phosphorylated or inactivated) or abolished upon malignancy. PMID: 25755728
- Results show that high expression of p70S6K and 4EBP1 proteins may act as valuable independent biomarkers to predict poor prognosis of nasopharyngeal carcinoma patients. PMID: 25165983
- the C-terminal extension (motif 3) is critical to 4E-BP1-mediated cell cycle arrest and it partially overlaps with the binding site of 4EGI-1 PMID: 26170285
- Effect of temperature on the conformation of natively unfolded protein 4E-BP1 in aqueous and mixed solutions containing trifluoroethanol and hexafluoroisopropanol. PMID: 25503819
- ShcA drives breast tumor growth and angiogenesis in vivo in a 4E-BP-dependent manner PMID: 24837366
- Studied conditions that increase the sensitivity of cancer cells to MK-2206. and found reduction by salinomycin of Akt and downregulation of pAkt, pGSk3beta, pTSC2, and p4EBP1 by cotreatment with MK-2206. PMID: 25114899
- Tanshinone IIA inhibits HIF-1alpha and VEGF expression in breast cancer cells via mTOR/p70S6K/RPS6/4E-BP1 signaling pathway. PMID: 25659153
- certain Akt/mTOR/4E-BP1 pathway signals could be novel therapeutic targets for Merkel cell carcinomas regardless of Merkel cell polyomavirus infection status PMID: 25466966
- 4E-BP1 is a trigger for parthenolide -induced autophagy PMID: 25482447
- Acquired drug resistance to antineoplastic agents is regulated in part by 4E-BP1. PMID: 24354477
- Results show that loss-of-function of TBC1D7 protein was associated with an increase in the phosphorylation of 4EBP1, a direct downstream target of mTORC1. PMID: 24515783
- Overexpression of phosphorylated 4E-binding protein 1 is associated with lymph node metastasis in hilar cholangiocarcinoma PMID: 24706262
- The tumor marker eRF3B can change the cell cycle and influence the phosphorylation status of 4E-BP1. PMID: 24466059
- The mTOR effectors 4EBP1 and S6K2 are frequently coexpressed, and associated with a poor prognosis and endocrine resistance in breast cancer. PMID: 24131622
- p-4E-BP1 may have a role in response to the mTOR inhibitors and progression-free survival PMID: 24307346
- mTORC1 controls mitochondrial activity and biogenesis by selectively promoting translation of nucleus-encoded mitochondria-related mRNAs via inhibition of the eukaryotic translation initiation factor 4E (eIF4E)-binding proteins (4E-BPs). PMID: 24206664
- rapalog-activated MNK1 signaling promotes glioma growth through regulation of 4EBP1; there is a molecular cross-talk between the mTORC1 and MNK1 pathways PMID: 24401275
- overexpression of 4EBP1, p70S6K, Akt1 or Akt2 could promote the Coxsackievirus B3-induced apoptosis. PMID: 24030155
- Our results suggest that long-term repeated viral delivery of 4E-BP1 may provide a useful tool for designing lung cancer treatment. PMID: 23640516
- The results indicate mTOR-independent phosphorylation of S6K1 and 4E-BP1 and suggest MEK/ERK/RSK1-dependent phosphorylation of eIF4B during skeletal muscle contraction. PMID: 23707523
- study has identified protein phosphatase PPM1G as a novel regulator of cap-dependent protein translation by negatively controlling the phosphorylation of 4E-BP1. PMID: 23814053
- Data therefore suggest that HIF-1alpha contributes to 4E-BP1 gene expression under different conditions. PMID: 23175522
顯示更多
收起更多
-
蛋白家族:EIF4E-binding protein family
-
數據庫鏈接:
Most popular with customers
-
-
YWHAB Recombinant Monoclonal Antibody
Applications: ELISA, WB, IHC, IF, FC
Species Reactivity: Human, Mouse, Rat
-
Phospho-YAP1 (S127) Recombinant Monoclonal Antibody
Applications: ELISA, WB, IHC
Species Reactivity: Human
-
-
-
-
-















