TTBK1 Antibody
-
中文名稱:TTBK1兔多克隆抗體
-
貨號:CSB-PA068526
-
規格:¥1100
-
圖片:
-
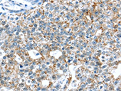
The image on the left is immunohistochemistry of paraffin-embedded Human breast cancer tissue using CSB-PA068526(TTBK1 Antibody) at dilution 1/35, on the right is treated with synthetic peptide. (Original magnification: ×200)
-
The image on the left is immunohistochemistry of paraffin-embedded Human brain tissue using CSB-PA068526(TTBK1 Antibody) at dilution 1/35, on the right is treated with synthetic peptide. (Original magnification: ×200)
-
-
其他:
產品詳情
-
Uniprot No.:
-
基因名:TTBK1
-
宿主:Rabbit
-
反應種屬:Human
-
免疫原:Synthetic peptide of Human TTBK1
-
免疫原種屬:Homo sapiens (Human)
-
標記方式:Non-conjugated
-
抗體亞型:IgG
-
純化方式:Antigen affinity purification
-
濃度:It differs from different batches. Please contact us to confirm it.
-
保存緩沖液:-20°C, pH7.4 PBS, 0.05% NaN3, 40% Glycerol
-
產品提供形式:Liquid
-
應用范圍:ELISA,IHC
-
推薦稀釋比:
Application Recommended Dilution ELISA 1:2000-1:5000 IHC 1:25-1:100 -
Protocols:
-
儲存條件:Upon receipt, store at -20°C or -80°C. Avoid repeated freeze.
-
貨期:Basically, we can dispatch the products out in 1-3 working days after receiving your orders. Delivery time maybe differs from different purchasing way or location, please kindly consult your local distributors for specific delivery time.
-
用途:For Research Use Only. Not for use in diagnostic or therapeutic procedures.
靶點詳情
-
功能:Serine/threonine kinase which is able to phosphorylate TAU on serine, threonine and tyrosine residues. Induces aggregation of TAU.
-
亞細胞定位:Cytoplasm.
-
蛋白家族:Protein kinase superfamily, CK1 Ser/Thr protein kinase family
-
組織特異性:Expressed in the brain, particularly in cortical and hippocampal neurons. Weakly expressed in spinal cord and testis. No expression in adipose tissue, bladder, cervix, colon, esophagus, heart, kidney, liver, lung, ovary, placenta, prostate, skeletal muscl
-
數據庫鏈接:
Most popular with customers
-
-
YWHAB Recombinant Monoclonal Antibody
Applications: ELISA, WB, IHC, IF, FC
Species Reactivity: Human, Mouse, Rat
-
Phospho-YAP1 (S127) Recombinant Monoclonal Antibody
Applications: ELISA, WB, IHC
Species Reactivity: Human
-
-
-
-
-















