NEDD8 Antibody
-
中文名稱:NEDD8兔多克隆抗體
-
貨號:CSB-PA618018DA01HU
-
規格:¥440
-
圖片:
-
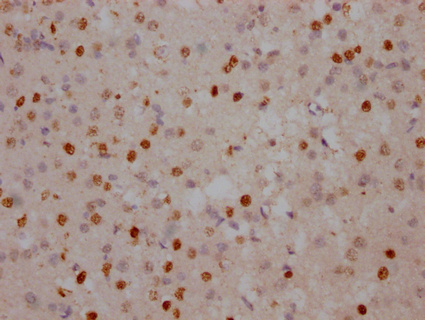
IHC image of CSB-PA618018DA01HU diluted at 1:100 and staining in paraffin-embedded human brain tissue performed on a Leica BondTM system. After dewaxing and hydration, antigen retrieval was mediated by high pressure in a citrate buffer (pH 6.0). Section was blocked with 10% normal goat serum 30min at RT. Then primary antibody (1% BSA) was incubated at 4°C overnight. The primary is detected by a Goat anti-rabbit IgG labeled by HRP and visualized using 0.05% DAB.
-
-
其他:
產品詳情
-
產品名稱:Rabbit anti-Homo sapiens (Human) NEDD8 Polyclonal antibody
-
Uniprot No.:
-
基因名:NEDD8
-
別名:FLJ43224 antibody; MGC104393 antibody; MGC125896 antibody; MGC125897 antibody; NED8 antibody; NEDD 8 antibody; NEDD-8 antibody; Nedd8 antibody; NEDD8_HUMAN antibody; Neddylin antibody; Neural precursor cell expressed developmentally down regulated 8 antibody; Neural precursor cell expressed developmentally down regulated gene 8 antibody; Neural precursor cell expressed developmentally down-regulated protein 8 antibody; Rub1 antibody; Ubiquitin like protein Nedd 8 antibody; Ubiquitin like protein Nedd8 antibody; Ubiquitin-like protein Nedd8 antibody
-
宿主:Rabbit
-
反應種屬:Human
-
免疫原:Recombinant Human NEDD8 protein (81AA)
-
免疫原種屬:Homo sapiens (Human)
-
標記方式:Non-conjugated
本頁面中的產品,NEDD8 Antibody (CSB-PA618018DA01HU),的標記方式是Non-conjugated。對于NEDD8 Antibody,我們還提供其他標記。見下表:
-
克隆類型:Polyclonal
-
抗體亞型:IgG
-
純化方式:>95%, Antigen Affinity purified & Affinity purified
-
濃度:It differs from different batches. Please contact us to confirm it.
-
保存緩沖液:Preservative: 0.03% Proclin 300
Constituents: 50% Glycerol, 0.01M PBS, pH 7.4 -
產品提供形式:Liquid
-
應用范圍:ELISA, IHC
-
推薦稀釋比:
Application Recommended Dilution IHC 1:20-1:200 -
Protocols:
-
儲存條件:Upon receipt, store at -20°C or -80°C. Avoid repeated freeze.
-
貨期:Basically, we can dispatch the products out in 1-3 working days after receiving your orders. Delivery time maybe differs from different purchasing way or location, please kindly consult your local distributors for specific delivery time.
-
用途:For Research Use Only. Not for use in diagnostic or therapeutic procedures.
相關產品
靶點詳情
-
功能:Ubiquitin-like protein which plays an important role in cell cycle control and embryogenesis via its conjugation to a limited number of cellular proteins, such as cullins or p53/TP53. Attachment of NEDD8 to cullins is critical for the recruitment of E2 to the cullin-RING-based E3 ubiquitin-protein ligase complex, thus facilitating polyubiquitination and proteasomal degradation of cyclins and other regulatory proteins. Attachment of NEDD8 to p53/TP53 inhibits p53/TP53 transcriptional activity. Covalent attachment to its substrates requires prior activation by the E1 complex UBE1C-APPBP1 and linkage to the E2 enzyme UBE2M.
-
基因功能參考文獻:
- Nedd8 binding to Smurf plays important roles in the regulation of cell migration and the BMP and TGFbeta signaling pathways. PMID: 28169289
- NEDD8-mediated neddylation promotes stress granule assembly. PMID: 27381497
- NEDD8 seems to inhibit the Src-mediated phosphorylation of caveolin-1 by modifying the structure of caveolin-1 protein, which blocks the migration of cancer cells. Although the neddylation process is currently regarded as an emerging target for cancer therapy, our results suggest the possibility that the inhibition of neddylation could facilitate cancer invasion or metastasis at least in some types of cancers. PMID: 29301501
- The cellular effects of NEDD8 inhibition can be manipulated based on the p53 status. PMID: 27901050
- Here we report that high expression of neddylation components, NEDD8 and NAE1, are associated with poor survival of Pancreatic ductal adenocarcinoma patients. Blockage of neddylation by MLN4924 significantly sensitizes pancreatic cancer cells to gemcitabine, reduced clonogenic survival, decreased invasion capacity, increased apoptosis and senescence PMID: 28535453
- Downregulation of NEDD8 enhanced the susceptibility of nasopharyngeal carcinoma cells to cisplatin and radiation. PMID: 28569775
- Furthermore, the authors characterized SENP8/DEN1 as the protease that counteracts Ubc12 auto-neddylation, and observed aberrant neddylation of Ubc12 and other NEDD8 conjugation pathway components in SENP8-deficient cells. PMID: 28475037
- MKK7 undergoes neddylation in human breast cancer cells PMID: 26364603
- complete blocking of CRLs at a higher inhibitor dose-induced cytotoxicity that was amplified by knockdown of CRL regulator Cand1. PMID: 27906189
- In conclusion, the authors revealed that E3 ligase HDM2 promotes NEDD8 NEDDylation of HBx to enhance HBx stability and chromatin localization, which in turn favors HBx-dependent transcriptional regulation, cell proliferation, and hepatitis B virus-driven tumor growth. PMID: 28592528
- CUL5 neddylation may allosterically tune polyubiquitin chain length and topology. PMID: 28082425
- This study identifies MyD88 as a novel substrate of NEDD8, and demonstrate that MyD88 NEDDylation antagonizes its ubiquitination. PMID: 27864145
- This study provides new knowledge of the CFTR biosynthetic pathway. It suggests that SYVN1 and FBXO2 represent two distinct multiprotein complexes that may degrade DeltaF508-CFTR in airway epithelia and identifies a new role for NEDD8 in regulating DeltaF508-CFTR ubiquitination. PMID: 27756846
- Neddylation of Smurf1 activates its ubiquitin ligase activity and Smurf2 exerts Nedd8 ligase activity. This study provided new clues of Smurf2 activation regulation. PMID: 27086113
- Nedd8(Q40E) cannot induce the same structural effect on Cul1-Rbx1 as wild-type Nedd8. PMID: 26632597
- findings add novel evidence showing, for what we believe the first time, that NEDD8-mediated neddylation is required for normal human endometrial functions PMID: 26003431
- In endothelial dysfunction, HDAC2 levels were reciprocally regulated by ectopic expression of NEDD8 and the de-NEDDylating enzyme SENP8. PMID: 25655932
- we report that MLN4924 (NEDD8 enzyme inhibitor ) specifically inhibited protein neddylation, inactivated cullin-RING E3 ligase (CRL), the best-known neddylation substrate, and induced the accumulation CRL substrates in lymphoma cells. PMID: 25782162
- E1 (NAE1 and UBA3) and E2 (UBC12) enzymes, as well as global NEDD8 conjugation, were upregulated in over 2/3 of human intrahepatic cholangiocarcinoma PMID: 25229838
- This work sheds new light on the roles of NEDD8 lysines on neddylation cascades and provides a dominant negative mutant for the study of neddylation and its biological functions. PMID: 25918018
- a role of Nedd8 in regulating caspase-1 activation following inflammasome activation PMID: 25452302
- NEDD8 negatively regulates the DNA damage repair process through suppression of the ubiquitylation of H2A and gammaH2AX, which further blocks the recruitment of the damage response protein BRCA1. PMID: 24634510
- SCCRO3 functions as a tumor suppressor by antagonizing the neddylation activity of SCCRO PMID: 25349211
- Study reports the structure of a trapped RING E3-E2 approximately UBL-target intermediate representing RBX1-UBC12 approximately NEDD8-CUL1-DCN1, which reveals the mechanism of NEDD8 ligation and how a particular UBL and acceptor lysine are matched by a multifunctional RING E3. PMID: 24949976
- Protein neddylation with NEDD8 protein plays an important role in HIV-1 and HIV-2 infection. PMID: 24245672
- More importantly, RPS14 was specifically modified with NEDD8 and hCINAP inhibited RPS14 NEDDylation by recruiting NEDD8-specific protease 1 PMID: 23246961
- Our results suggest that NEDD8 may play an important role in the control of proliferation and differentiation of human placenta throughout pregnancy. PMID: 23812220
- In coordination with the P97-UFD1-NPL4 complex (P97(UFD1/NPL4)), NUB1L promotes transfer of NEDD8 to proteasome for degradation. PMID: 24019527
- these results indicate that NAE1/APP-BP1 and NEDDylation are invovled in modulating p53 activity and regulating its role in the response of cells to ionizing radiation PMID: 22895816
- Data indicate that overexpression of SENP8, a NEDD8-specific cysteine protease, resulted in deNEDDylation of E2F1 and promoted its transactivation activity at the p73 gene. PMID: 23001041
- These studies demonstrate that disrupting host NEDD8 cascades presents a novel antiretroviral therapeutic approach enhancing the ability of the immune system to combat HIV. PMID: 23300442
- these findings suggest that once Rub1/Nedd8 is channeled into ubiquitin pathways, it is recognized essentially like ubiquitin. PMID: 23105008
- NEDD8 modifies transcription factor E2F-1. PMID: 22836579
- histone H4 was polyneddylated in response to DNA damage, and NEDD8 was conjugated to the N-terminal lysine residues of H4 PMID: 23394999
- a new regulatory mechanism of RCAN1 function PMID: 23118980
- c-Cbl conjugates neural precursor cell-expressed, developmentally downregulated 8 (NEDD8), a ubiquitin-like protein, to TbetaRII at Lys556 and Lys567. PMID: 23290524
- Neddylation is achieved via a multienzyme process wherein SENP8 enables cleavage of the Nedd8 precursor and promotes Nedd8 conjugation to the Cullin-RING ligases. PMID: 23209320
- present a view of how a bacterial deamidase effector, cycle-inhibiting factor homolog in Burkholderia pseudomallei, recognizes its host targets, ubiquitin (Ub) and Ub-like NEDD8, and catalyzes site-specific deamidation PMID: 23175788
- Deconjugation of Nedd8 from Cul1 is directly regulated by Skp1-F-box and substrate, and the COP9 signalosome inhibits deneddylated SCF by a noncatalytic mechanism. PMID: 22767593
- In the present study, the proportions of intranuclear inclusion positive for NEDD8, NUB1 and SUMO-1 were significantly lower in glial cells than in neurons. PMID: 22612509
- We report the crystal structures of two Cif/NEDD8 complexes, revealing a conserved molecular interface that defines enzyme/substrate recognition. PMID: 22691497
- Decrease in free ubiquitin levels under stress allows NEDD8 to be conjugated through Ube1. PMID: 22370482
- The studies provide insights on how nucleolar stress through L11 and NEDD8 can activate the transcriptional activity of p53. PMID: 22081073
- High NEDD8 is associated with melanoma. PMID: 22502714
- XIAP does not function as a NEDD8-E3 ligase for caspase-7 in vivo PMID: 22584050
- These results uncover an unexpected and conserved role for NEDD8 in linking cullin-RING ubiquitin ligases ubiquitin ligase function to the p97 pathway. PMID: 22466964
- Mdm2/NEDD8/HuR regulatory framework is essential for the malignant transformation of tumor cells. PMID: 22095636
- E1-E2 interactions in ubiquitin and Nedd8 ligation pathways PMID: 22069333
- In cells, NEDD8 overexpression leads to this type of NEDDylation by increasing the concentration of NEDD8, whereas proteasome inhibition has the same effect by depleting free ubiquitin. PMID: 22004789
- findings suggest that TRIM40 inhibits NF-kappaB activity via neddylation of inhibitor of nuclear factor kappaB kinase subunit gamma and that TRIM40 prevents inflammation-associated carcinogenesis in the gastrointestinal tract PMID: 21474709
顯示更多
收起更多
-
亞細胞定位:Nucleus.
-
蛋白家族:Ubiquitin family
-
組織特異性:Highly expressed in heart, skeletal muscle, spleen, thymus, prostate, testis, ovary, colon and leukocytes.
-
數據庫鏈接:
Most popular with customers
-
-
YWHAB Recombinant Monoclonal Antibody
Applications: ELISA, WB, IHC, IF, FC
Species Reactivity: Human, Mouse, Rat
-
-
-
-
-
-















