MYH1 Antibody
-
中文名稱:MYH1兔多克隆抗體
-
貨號:CSB-PA877584
-
規格:¥1100
-
圖片:
-
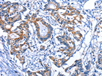
The image on the left is immunohistochemistry of paraffin-embedded Human lung cancer tissue using CSB-PA877584(MYH1 Antibody) at dilution 1/30, on the right is treated with fusion protein. (Original magnification: ×200)
-
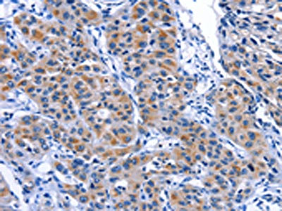
The image on the left is immunohistochemistry of paraffin-embedded Human colon cancer tissue using CSB-PA877584(MYH1 Antibody) at dilution 1/30, on the right is treated with fusion protein. (Original magnification: ×200)
-
-
其他:
產品詳情
-
Uniprot No.:
-
基因名:MYH1
-
別名:adult 1 antibody; MYH1 antibody; MYH1_HUMAN antibody; MyHC-2x antibody; MyHC-IIx/d antibody; Myosin heavy chain 1 antibody; Myosin heavy chain 2x antibody; Myosin heavy chain antibody; Myosin heavy chain IIx/d antibody; Myosin-1 antibody; skeletal muscle antibody
-
宿主:Rabbit
-
反應種屬:Human,Mouse
-
免疫原:Fusion protein of Human MYH1
-
免疫原種屬:Homo sapiens (Human)
-
標記方式:Non-conjugated
-
抗體亞型:IgG
-
純化方式:Antigen affinity purification
-
濃度:It differs from different batches. Please contact us to confirm it.
-
保存緩沖液:-20°C, pH7.4 PBS, 0.05% NaN3, 40% Glycerol
-
產品提供形式:Liquid
-
應用范圍:ELISA,IHC
-
推薦稀釋比:
Application Recommended Dilution ELISA 1:2000-1:5000 IHC 1:25-1:100 -
Protocols:
-
儲存條件:Upon receipt, store at -20°C or -80°C. Avoid repeated freeze.
-
貨期:Basically, we can dispatch the products out in 1-3 working days after receiving your orders. Delivery time maybe differs from different purchasing way or location, please kindly consult your local distributors for specific delivery time.
-
用途:For Research Use Only. Not for use in diagnostic or therapeutic procedures.
相關產品
靶點詳情
-
功能:Muscle contraction.
-
基因功能參考文獻:
- Transcriptional levels of MHC-I, MHC-IIa, and MHC-IIb in denervation groups were significantly down-regulated compared with controls PMID: 26059207
- Myosin isoforms impact single-fiber force generation and may lead to alterations in whole skeletal muscle performance. PMID: 25567808
- adaptive response to reduced masticatory load was lower numerical and area proportion of MyHC-1 expressing fibres and higher numerical proportion of hybrid fibres in edentulous compared with dentate subjects PMID: 22489880
- The human genioglossus muscle is composed of conventional myosin heavy chain isoforms and 3 primary myosin heavy chain phenotypes. PMID: 22337492
- the expression levels of the MHC genes are associated with age and both PGC-1alpha and PGC-1beta and indicate that the MHC genes may to some extent be used to determine fibre-type composition in human skeletal muscle. PMID: 21470888
- we found a higher percentage of fibers expressing fast MyHC IIx in tetraplegic cerebral palsy PMID: 17916367
- Modular organization of phylogenetically conserved domains controlling developmental regulation of the human skeletal gene family PMID: 11971910
- frequency of fibers expressing myosin heavy chain (MyHC) IIx increased in spastic paresis PMID: 17196619
- Patients on hemodialysis demonstrate relatively fewer type 1 and consequently more type 2x fibres, with a corresponding change in MHC isoforms (MHC I and MHC IIX) in the skeletal muscle. PMID: 17853024
顯示更多
收起更多
-
亞細胞定位:Cytoplasm, myofibril. Note=Thick filaments of the myofibrils.
-
蛋白家族:TRAFAC class myosin-kinesin ATPase superfamily, Myosin family
-
數據庫鏈接:
Most popular with customers
-
-
YWHAB Recombinant Monoclonal Antibody
Applications: ELISA, WB, IHC, IF, FC
Species Reactivity: Human, Mouse, Rat
-
Phospho-YAP1 (S127) Recombinant Monoclonal Antibody
Applications: ELISA, WB, IHC
Species Reactivity: Human
-
-
-
-
-















