MAP1LC3C Antibody
-
中文名稱:MAP1LC3C兔多克隆抗體
-
貨號:CSB-PA915606
-
規格:¥1100
-
圖片:
-
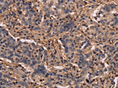
The image on the left is immunohistochemistry of paraffin-embedded Human liver cancer tissue using CSB-PA915606(MAP1LC3C Antibody) at dilution 1/40, on the right is treated with synthetic peptide. (Original magnification: ×200)
-
The image on the left is immunohistochemistry of paraffin-embedded Human prostate cancer tissue using CSB-PA915606(MAP1LC3C Antibody) at dilution 1/40, on the right is treated with synthetic peptide. (Original magnification: ×200)
-
-
其他:
產品詳情
-
Uniprot No.:
-
基因名:MAP1LC3C
-
別名:ATG8J antibody; Autophagy-related protein LC3 C antibody; Autophagy-related ubiquitin-like modifier LC3 C antibody; LC3 like protein 2 antibody; MAP1 light chain 3 like protein 2 antibody; MAP1 light chain 3 like protein 3 antibody; MAP1 light chain 3-like protein 3 antibody; MAP1A/MAP1B LC3 C antibody; MAP1A/MAP1B light chain 3 C antibody; MAP1LC3C antibody; Microtubule-associated protein 1 light chain 3 gamma antibody; Microtubule-associated proteins 1A/1B light chain 3C antibody; MLP3C_HUMAN antibody
-
宿主:Rabbit
-
反應種屬:Human
-
免疫原:Synthetic peptide of Human MAP1LC3C
-
免疫原種屬:Homo sapiens (Human)
-
標記方式:Non-conjugated
-
抗體亞型:IgG
-
純化方式:Antigen affinity purification
-
濃度:It differs from different batches. Please contact us to confirm it.
-
保存緩沖液:-20°C, pH7.4 PBS, 0.05% NaN3, 40% Glycerol
-
產品提供形式:Liquid
-
應用范圍:ELISA,IHC
-
推薦稀釋比:
Application Recommended Dilution ELISA 1:2000-1:5000 IHC 1:50-1:200 -
Protocols:
-
儲存條件:Upon receipt, store at -20°C or -80°C. Avoid repeated freeze.
-
貨期:Basically, we can dispatch the products out in 1-3 working days after receiving your orders. Delivery time maybe differs from different purchasing way or location, please kindly consult your local distributors for specific delivery time.
-
用途:For Research Use Only. Not for use in diagnostic or therapeutic procedures.
相關產品
靶點詳情
-
功能:Ubiquitin-like modifier that plays a crucial role in antibacterial autophagy (xenophagy) through the selective binding of CALCOCO2. Recruits all ATG8 family members to infecting bacteria such as S.Typhimurium. May also play a role in aggrephagy, the macroautophagic degradation of ubiquitinated and aggregated proteins.
-
基因功能參考文獻:
- a basal, housekeeping mitophagy pathway that involves piecemeal degradation of mitochondrial proteins in a LC3C- and p62-dependent manner and contributes to mitochondrial homeostasis maintenance when cells rely on oxidative phosphorylation. PMID: 29149599
- a non-canonical autophagy pathway reminiscent of LC3-associated phagocytosis contributes to Vpu counteraction of BST2 restriction. PMID: 27880899
- The WDR81 interacts with LC3C through canonical LC3-interacting regions in the BEACH domain, promoting LC3C recruitment to ubiquitinated proteins. PMID: 28404643
- Results indicate that TECPR2 Binds LC3and the complex is required for autophagosome formation, possibly through regulation of functional ER exit sites PMID: 26431026
- both autophagy-related 5 and microtubule-associated protein 1 light chain 3B levels are decreased in patients with melanomas as compared with those with benign nevi PMID: 24300435
- ccytoplasm against Salmonella. PMID: 23022382
顯示更多
收起更多
-
亞細胞定位:Cytoplasm, cytoskeleton. Endomembrane system; Lipid-anchor. Cytoplasmic vesicle, autophagosome membrane; Lipid-anchor. Cytoplasmic vesicle, autophagosome. Note=LC3-II binds to the autophagic membranes.
-
蛋白家族:ATG8 family
-
組織特異性:Most abundant in placenta, lung and ovary.
-
數據庫鏈接:
Most popular with customers
-
-
YWHAB Recombinant Monoclonal Antibody
Applications: ELISA, WB, IHC, IF, FC
Species Reactivity: Human, Mouse, Rat
-
Phospho-YAP1 (S127) Recombinant Monoclonal Antibody
Applications: ELISA, WB, IHC
Species Reactivity: Human
-
-
-
-
-















