MAGEB4 Antibody
-
中文名稱:MAGEB4兔多克隆抗體
-
貨號:CSB-PA083281
-
規格:¥1100
-
圖片:
-
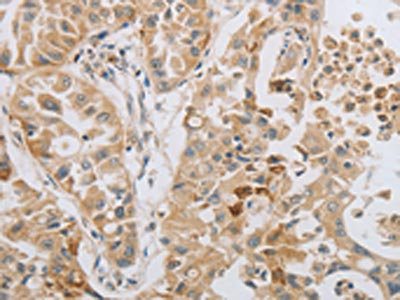
The image on the left is immunohistochemistry of paraffin-embedded Human ovarian cancer tissue using CSB-PA083281(MAGEB4 Antibody) at dilution 1/50, on the right is treated with fusion protein. (Original magnification: ×200)
-
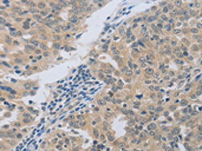
The image on the left is immunohistochemistry of paraffin-embedded Human lung cancer tissue using CSB-PA083281(MAGEB4 Antibody) at dilution 1/50, on the right is treated with fusion protein. (Original magnification: ×200)
-
Gel: 10%SDS-PAGE, Lysate: 40 μg, Lane: Lncap cells, Primary antibody: CSB-PA083281(MAGEB4 Antibody) at dilution 1/700, Secondary antibody: Goat anti rabbit IgG at 1/8000 dilution, Exposure time: 10 seconds
-
-
其他:
產品詳情
-
Uniprot No.:
-
基因名:MAGEB4
-
別名:cancer/testis antigen family 3, member 6 antibody; CT3.6 antibody; MAGB4_HUMAN antibody; MAGE B4 antigen antibody; MAGE-B4 antigen antibody; MAGEB4 antibody; melanoma antigen family B, 4 antibody; Melanoma associated antigen B4 antibody; Melanoma-associated antigen B4 antibody; MGC33144 antibody
-
宿主:Rabbit
-
反應種屬:Human
-
免疫原:Fusion protein of Human MAGEB4
-
免疫原種屬:Homo sapiens (Human)
-
標記方式:Non-conjugated
-
抗體亞型:IgG
-
純化方式:Antigen affinity purification
-
濃度:It differs from different batches. Please contact us to confirm it.
-
保存緩沖液:-20°C, pH7.4 PBS, 0.05% NaN3, 40% Glycerol
-
產品提供形式:Liquid
-
應用范圍:ELISA,WB,IHC
-
推薦稀釋比:
Application Recommended Dilution ELISA 1:2000-1:5000 WB 1:500-1:2000 IHC 1:50-1:200 -
Protocols:
-
儲存條件:Upon receipt, store at -20°C or -80°C. Avoid repeated freeze.
-
貨期:Basically, we can dispatch the products out in 1-3 working days after receiving your orders. Delivery time maybe differs from different purchasing way or location, please kindly consult your local distributors for specific delivery time.
-
用途:For Research Use Only. Not for use in diagnostic or therapeutic procedures.
相關產品
靶點詳情
-
基因功能參考文獻:
- The whole exome analysis of a consanguineous Turkish family revealed MAGEB4 as a possible new X-linked cause of inherited male infertility. This study provides the first clue to the physiological function of a MAGE protein. PMID: 28401488
-
亞細胞定位:Cytoplasm.
-
組織特異性:Expressed in testis.
-
數據庫鏈接:
Most popular with customers
-
YWHAB Recombinant Monoclonal Antibody
Applications: ELISA, WB, IHC, IF, FC
Species Reactivity: Human, Mouse, Rat
-
Phospho-YAP1 (S127) Recombinant Monoclonal Antibody
Applications: ELISA, WB, IHC
Species Reactivity: Human
-
-
-
-
-
-















