LPCAT2 Antibody
-
中文名稱:LPCAT2兔多克隆抗體
-
貨號:CSB-PA013053LA01HU
-
規格:¥440
-
圖片:
-
Western Blot
Positive WB detected in: 293 whole cell lysate
All lanes: LPCAT2 antibody at 5μg/ml
Secondary
Goat polyclonal to rabbit IgG at 1/50000 dilution
Predicted band size: 61, 31 kDa
Observed band size: 61 kDa -
IHC image of CSB-PA013053LA01HU diluted at 1:200 and staining in paraffin-embedded human thyroid tissue performed on a Leica BondTM system. After dewaxing and hydration, antigen retrieval was mediated by high pressure in a citrate buffer (pH 6.0). Section was blocked with 10% normal goat serum 30min at RT. Then primary antibody (1% BSA) was incubated at 4°C overnight. The primary is detected by a biotinylated secondary antibody and visualized using an HRP conjugated SP system.
-
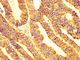
IHC image of CSB-PA013053LA01HU diluted at 1:200 and staining in paraffin-embedded human colon cancer performed on a Leica BondTM system. After dewaxing and hydration, antigen retrieval was mediated by high pressure in a citrate buffer (pH 6.0). Section was blocked with 10% normal goat serum 30min at RT. Then primary antibody (1% BSA) was incubated at 4°C overnight. The primary is detected by a biotinylated secondary antibody and visualized using an HRP conjugated SP system.
-
-
其他:
產品詳情
-
產品名稱:Rabbit anti-Homo sapiens (Human) LPCAT2 Polyclonal antibody
-
Uniprot No.:
-
基因名:LPCAT2
-
別名:1 acylglycerophosphocholine O acyltransferase antibody; 1 alkylglycerophosphocholine O acetyltransferase antibody; 1-acylglycerophosphocholine O-acyltransferase antibody; 1-alkylglycerophosphocholine O-acetyltransferase antibody; A330042H22 antibody; Acetyl CoA:lyso PAF acetyltransferase antibody; Acetyl-CoA:lyso-PAF acetyltransferase antibody; Acetyl-CoA:lyso-platelet-activating factor acetyltransferase antibody; acyl CoA:lysophosphatidylcholine acyltransferase 2 antibody; Acyl-CoA:lysophosphatidylcholine acyltransferase member 1 antibody; Acyltransferase like 1 antibody; Acyltransferase like 1A antibody; Acyltransferase-like 1 antibody; AYTL1 antibody; Aytl1a antibody; DKFZp686H22112 antibody; FLJ20481 antibody; lpafat1 antibody; LPC acyltransferase 2 antibody; LPCAT-2 antibody; LPCAT2 antibody; Lyso PAF acetyltransferase antibody; Lyso platelet activating factor (PAF) acetyltransferase antibody; Lyso-PAF acetyltransferase antibody; LysoPAFAT antibody; LysoPAFAT/LPCAT2 antibody; LysoPC acyltransferase 2 antibody; Lysophosphatidylcholine acyltransferase 2 antibody; OTTMUSP00000029641 antibody; PCAT2_HUMAN antibody; RGD1563994 antibody
-
宿主:Rabbit
-
反應種屬:Human
-
免疫原:Recombinant Human Lysophosphatidylcholine acyltransferase 2 protein (442-544AA)
-
免疫原種屬:Homo sapiens (Human)
-
標記方式:Non-conjugated
本頁面中的產品,LPCAT2 Antibody (CSB-PA013053LA01HU),的標記方式是Non-conjugated。對于LPCAT2 Antibody,我們還提供其他標記。見下表:
-
克隆類型:Polyclonal
-
抗體亞型:IgG
-
純化方式:>95%, Protein G purified
-
濃度:It differs from different batches. Please contact us to confirm it.
-
保存緩沖液:Preservative: 0.03% Proclin 300
Constituents: 50% Glycerol, 0.01M PBS, pH 7.4 -
產品提供形式:Liquid
-
應用范圍:ELISA, WB, IHC
-
推薦稀釋比:
Application Recommended Dilution WB 1:500-1:5000 IHC 1:20-1:200 -
Protocols:
-
儲存條件:Upon receipt, store at -20°C or -80°C. Avoid repeated freeze.
-
貨期:Basically, we can dispatch the products out in 1-3 working days after receiving your orders. Delivery time maybe differs from different purchasing way or location, please kindly consult your local distributors for specific delivery time.
-
用途:For Research Use Only. Not for use in diagnostic or therapeutic procedures.
相關產品
靶點詳情
-
功能:Exhibits both acyltransferase and acetyltransferase activities. Catalyzes the conversion of lysophosphatidylcholine (1-acyl-sn-glycero-3-phosphocholine or LPC) into phosphatidylcholine (1,2-diacyl-sn-glycero-3-phosphocholine or PC). Catalyzes the conversion 1-acyl-sn-glycerol-3-phosphate (lysophosphatidic acid or LPA) into 1,2-diacyl-sn-glycerol-3-phosphate (phosphatidic acid or PA) by incorporating an acyl moiety at the sn-2 position of the glycerol backbone. Involved in platelet-activating factor (PAF) biosynthesis by catalyzing the conversion of the PAF precursor, 1-O-alkyl-sn-glycero-3-phosphocholine (lyso-PAF) into 1-O-alkyl-2-acetyl-sn-glycero-3-phosphocholine (PAF). Also converts lyso-PAF to 1-O-alkyl-2-acyl-sn-glycero-3-phosphocholine (PC), a major component of cell membranes and a PAF precursor. Under resting conditions, acyltransferase activity is preferred. Upon acute inflammatory stimulus, acetyltransferase activity is enhanced and PAF synthesis increases. Involved in the regulation of lipid droplet number and size.
-
基因功能參考文獻:
- three of these five genes (CXCL14, ITGAX, and LPCAT2) harbored polymorphisms associated with aggressive disease development in a human GWAS cohort consisting of 1,172 prostate cancer patients. PMID: 25411967
- Data indicate a strong negative correlation between ALOX15, FADS2, and IL5RA expression with 2-arachidonoylglycerophosphocholine levels in dual asthmatic responses. PMID: 23844124
- LPCAT1 and -2 have, in addition to their known function in specialized cells, a ubiquitous role in LD-associated lipid metabolism PMID: 21498505
- Our enzymatic assays strongly suggest that the cDNA previously identified as LPCAT2/lyso platelet-activating factor-acetyltransferase cDNA has AGPAT activity and thus we prefer to identify this clone as AGPAT11 as well. PMID: 20363836
- The enzyme acetyl-CoA:LYSO-PAF acetyltransferase catalyzes not only biosynthesis of PAF upon acute inflammatory stimulation but also incorporation of arachidonoyl-CoA to produce PAF precursor membrane glycerophospholipids for membrane biogenesis. PMID: 17182612
顯示更多
收起更多
-
亞細胞定位:Endoplasmic reticulum membrane; Single-pass type II membrane protein. Golgi apparatus membrane; Single-pass type II membrane protein. Cell membrane; Single-pass type II membrane protein. Lipid droplet.
-
蛋白家族:1-acyl-sn-glycerol-3-phosphate acyltransferase family
-
數據庫鏈接:
Most popular with customers
-
-
YWHAB Recombinant Monoclonal Antibody
Applications: ELISA, WB, IHC, IF, FC
Species Reactivity: Human, Mouse, Rat
-
Phospho-YAP1 (S127) Recombinant Monoclonal Antibody
Applications: ELISA, WB, IHC
Species Reactivity: Human
-
-
-
-
-















