CPNE1 Antibody
-
中文名稱:CPNE1兔多克隆抗體
-
貨號:CSB-PA859524LA01HU
-
規格:¥440
-
圖片:
-
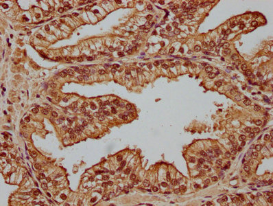
IHC image of CSB-PA859524LA01HU diluted at 1:100 and staining in paraffin-embedded human prostate cancer performed on a Leica BondTM system. After dewaxing and hydration, antigen retrieval was mediated by high pressure in a citrate buffer (pH 6.0). Section was blocked with 10% normal goat serum 30min at RT. Then primary antibody (1% BSA) was incubated at 4°C overnight. The primary is detected by a biotinylated secondary antibody and visualized using an HRP conjugated SP system.
-
-
其他:
產品詳情
-
產品名稱:Rabbit anti-Homo sapiens (Human) CPNE1 Polyclonal antibody
-
Uniprot No.:
-
基因名:CPNE1
-
別名:Copine 1 antibody; Copine I antibody; Copine-1 antibody; Copine1 antibody; CopineI antibody; COPN 1 antibody; COPN1 antibody; CPN 1 antibody; CPN1 antibody; CPNE 1 antibody; CPNE1 antibody; CPNE1_HUMAN antibody; MGC1142 antibody
-
宿主:Rabbit
-
反應種屬:Human
-
免疫原:Recombinant Human Copine-1 protein (326-537AA)
-
免疫原種屬:Homo sapiens (Human)
-
標記方式:Non-conjugated
本頁面中的產品,CPNE1 Antibody (CSB-PA859524LA01HU),的標記方式是Non-conjugated。對于CPNE1 Antibody,我們還提供其他標記。見下表:
-
克隆類型:Polyclonal
-
抗體亞型:IgG
-
純化方式:Antigen Affinity Purified
-
濃度:It differs from different batches. Please contact us to confirm it.
-
保存緩沖液:Preservative: 0.03% Proclin 300
Constituents: 50% Glycerol, 0.01M PBS, pH 7.4 -
產品提供形式:Liquid
-
應用范圍:ELISA, IHC
-
推薦稀釋比:
Application Recommended Dilution IHC 1:20-1:200 -
Protocols:
-
儲存條件:Upon receipt, store at -20°C or -80°C. Avoid repeated freeze.
-
貨期:Basically, we can dispatch the products out in 1-3 working days after receiving your orders. Delivery time maybe differs from different purchasing way or location, please kindly consult your local distributors for specific delivery time.
-
用途:For Research Use Only. Not for use in diagnostic or therapeutic procedures.
相關產品
靶點詳情
-
功能:Calcium-dependent phospholipid-binding protein that plays a role in calcium-mediated intracellular processes. Involved in the TNF-alpha receptor signaling pathway in a calcium-dependent manner. Exhibits calcium-dependent phospholipid binding properties. Plays a role in neuronal progenitor cell differentiation; induces neurite outgrowth via a AKT-dependent signaling cascade and calcium-independent manner. May recruit target proteins to the cell membrane in a calcium-dependent manner. May function in membrane trafficking. Involved in TNF-alpha-induced NF-kappa-B transcriptional repression by inducing endoprotease processing of the transcription factor NF-kappa-B p65/RELA subunit. Also induces endoprotease processing of NF-kappa-B p50/NFKB1, p52/NFKB2, RELB and REL.
-
基因功能參考文獻:
- Results demonstrated that CPNE1 was highly expressed in the osteosarcoma (OS) tissues and cell lines. Its knockdown significantly inhibited cell proliferation, colony formation, invasion and metastasis in OS cell lines. PMID: 29207139
- CPNE1 overexpression can upregulate TRAF2 expression in prostate cancer DU-145 cells as determined by Western blotting and immunofluorescence assays. PMID: 29151113
- Collectively, our findings suggest that JAB1 activates the neuronal differentiation ability of CPNE1 through the binding of C2A domain in CPNE1 with MPN domain in JAB1. PMID: 29448099
- Copine I regulates tumour necrosis factor-alpha receptor signaling pathways. PMID: 14674885
- Copine1 is upregulated in plasma membranes of TM cells in individuals with primary open-angle glaucoma. PMID: 18523666
- CPNE1 shares a promoter and 5'UTR exons with RBM12. This genomic structure is conserved among multiple species. PMID: 18831769
顯示更多
收起更多
-
亞細胞定位:Nucleus. Cytoplasm. Cell membrane.
-
蛋白家族:Copine family
-
組織特異性:Expressed in neutrophils (at protein level). Widely expressed. Expressed in the brain. Expressed in neutrophil precursors from bone marrow and peripheral blood.
-
數據庫鏈接:
Most popular with customers
-
-
YWHAB Recombinant Monoclonal Antibody
Applications: ELISA, WB, IHC, IF, FC
Species Reactivity: Human, Mouse, Rat
-
Phospho-YAP1 (S127) Recombinant Monoclonal Antibody
Applications: ELISA, WB, IHC
Species Reactivity: Human
-
-
-
-
-















