CCNO Antibody
-
中文名稱:CCNO兔多克隆抗體
-
貨號:CSB-PA004831LA01HU
-
規格:¥440
-
圖片:
-
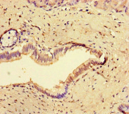
Immunohistochemistry of paraffin-embedded human prostate cancer using CSB-PA004831LA01HU at dilution of 1:100
-
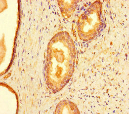
Immunohistochemistry of paraffin-embedded human pancreatic tissue using CSB-PA004831LA01HU at dilution of 1:100
-
Immunofluorescent analysis of Hela cells using CSB-PA004831LA01HU at dilution of 1:100 and Alexa Fluor 488-congugated AffiniPure Goat Anti-Rabbit IgG(H+L)
-
-
其他:
產品詳情
-
產品名稱:Rabbit anti-Homo sapiens (Human) CCNO Polyclonal antibody
-
Uniprot No.:
-
基因名:CCNO
-
別名:CCNO antibody; CCNO_HUMAN antibody; CCNU antibody; Cyclin domain containing antibody; Cyclin like uracil DNA glycosylase antibody; Cyclin O antibody; Cyclin U antibody; Cyclin-O antibody; DGU antibody; EC 3.2.2. antibody; UDG2 antibody; UNG2 antibody; Uracil DNA glycolylase 2 antibody; Uracil DNA glycosylase cyclin like antibody
-
宿主:Rabbit
-
反應種屬:Human
-
免疫原:Recombinant Human Cyclin-O protein (1-257AA)
-
免疫原種屬:Homo sapiens (Human)
-
標記方式:Non-conjugated
本頁面中的產品,CCNO Antibody (CSB-PA004831LA01HU),的標記方式是Non-conjugated。對于CCNO Antibody,我們還提供其他標記。見下表:
-
克隆類型:Polyclonal
-
抗體亞型:IgG
-
純化方式:>95%, Protein G purified
-
濃度:It differs from different batches. Please contact us to confirm it.
-
保存緩沖液:Preservative: 0.03% Proclin 300
Constituents: 50% Glycerol, 0.01M PBS, PH 7.4 -
產品提供形式:Liquid
-
應用范圍:ELISA, IHC, IF
-
推薦稀釋比:
Application Recommended Dilution IHC 1:20-1:200 IF 1:50-1:200 -
Protocols:
-
儲存條件:Upon receipt, store at -20°C or -80°C. Avoid repeated freeze.
-
貨期:Basically, we can dispatch the products out in 1-3 working days after receiving your orders. Delivery time maybe differs from different purchasing way or location, please kindly consult your local distributors for specific delivery time.
-
用途:For Research Use Only. Not for use in diagnostic or therapeutic procedures.
相關產品
靶點詳情
-
功能:Specifically required for generation of multiciliated cells, possibly by promoting a cell cycle state compatible with centriole amplification and maturation. Acts downstream of MCIDAS to promote mother centriole amplification and maturation in preparation for apical docking.
-
基因功能參考文獻:
- This study presents the crystal structure of the DDB1-DCAF1-HIV-1-Vpr-uracil-DNA glycosylase (cyclin U) complex. PMID: 27571178
- CCNO is mutated more frequently than expected from the rare previous clinical case reports, leads to severe clinical manifestations, and should therefore be considered an important differential diagnosis of mucociliary clearance disorders. PMID: 26777464
- CCNO mutations have a role in congenital mucociliary clearance disorder with reduced generation of multiple motile cilia PMID: 24747639
- This publication corrected the mistaken attribution of uracil DNA glycosylase activity to this gene. PMID: 8419333
- This publication initially attributed 'uracil-DNA glycosylase' activity to this gene and named it UNG2, but a later publication (PubMed ID: 8419333) more correctly identified UNG2/CCNO as a member of the cyclin protein family. PMID: 2001396
顯示更多
收起更多
-
相關疾病:Ciliary dyskinesia, primary, 29 (CILD29)
-
亞細胞定位:Cytoplasm. Nucleus, nucleolus.
-
蛋白家族:Cyclin family
-
組織特異性:Present in respiratory cells (at protein level).
-
數據庫鏈接:
Most popular with customers
-
-
YWHAB Recombinant Monoclonal Antibody
Applications: ELISA, WB, IHC, IF, FC
Species Reactivity: Human, Mouse, Rat
-
Phospho-YAP1 (S127) Recombinant Monoclonal Antibody
Applications: ELISA, WB, IHC
Species Reactivity: Human
-
-
-
-
-















