CALR3 Antibody
-
中文名稱:CALR3兔多克隆抗體
-
貨號:CSB-PA856970ESR1HU
-
規格:¥440
-
圖片:
-
Western blot
All lanes: Calreticulin-3 antibody at 4μg/ml
Lane 1: Hela whole cell lysate
Lane 2: HepG2 whole cell lysate
Lane 3: Rat gonad tissue
Secondary
Goat polyclonal to rabbit IgG at 1/10000 dilution
Predicted band size: 45 kDa
Observed band size: 45 kDa -
Immunohistochemistry of paraffin-embedded human breast cancer using CSB-PA856970ESR1HU at dilution of 1:100
-
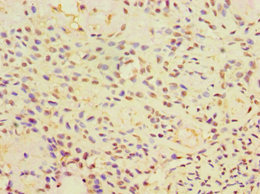
Immunohistochemistry of paraffin-embedded human testis tissue using CSB-PA856970ESR1HU at dilution of 1:100
-
-
其他:
產品詳情
-
產品名稱:Rabbit anti-Homo sapiens (Human) CALR3 Polyclonal antibody
-
Uniprot No.:
-
基因名:CALR3
-
別名:CALR 3 antibody; CALR3 antibody; CALR3_HUMAN antibody; Calreticulin 2 antibody; Calreticulin-2 antibody; Calreticulin-3 antibody; Calreticulin2 antibody; Calreticulin3 antibody; Calsperin antibody; Cancer/testis antigen 93 antibody; CMH19 antibody; CRT2 antibody; CT93 antibody; FLJ25355 antibody; MGC26577 antibody
-
宿主:Rabbit
-
反應種屬:Human, Rat
-
免疫原:Recombinant Human Calreticulin-3 protein (135-384AA)
-
免疫原種屬:Homo sapiens (Human)
-
標記方式:Non-conjugated
-
克隆類型:Polyclonal
-
抗體亞型:IgG
-
純化方式:Antigen Affinity Purified
-
濃度:It differs from different batches. Please contact us to confirm it.
-
保存緩沖液:PBS with 0.02% sodium azide, 50% glycerol, pH7.3.
-
產品提供形式:Liquid
-
應用范圍:ELISA, WB, IHC
-
推薦稀釋比:
Application Recommended Dilution WB 1:500-1:5000 IHC 1:20-1:200 -
Protocols:
-
儲存條件:Upon receipt, store at -20°C or -80°C. Avoid repeated freeze.
-
貨期:Basically, we can dispatch the products out in 1-3 working days after receiving your orders. Delivery time maybe differs from different purchasing way or location, please kindly consult your local distributors for specific delivery time.
-
用途:For Research Use Only. Not for use in diagnostic or therapeutic procedures.
相關產品
靶點詳情
-
功能:During spermatogenesis, may act as a lectin-independent chaperone for specific client proteins such as ADAM3. Required for sperm fertility. CALR3 capacity for calcium-binding may be absent or much lower than that of CALR.
-
基因功能參考文獻:
- Calreticulin-2 is localized in the lumen of the endoplasmic reticulum but is not a Ca2+ -binding protein. PMID: 21590275
- CRT2 is a novel cancer-testis antigen frequently expressed in various cancers PMID: 17975137
-
相關疾病:Cardiomyopathy, familial hypertrophic 19 (CMH19)
-
亞細胞定位:Endoplasmic reticulum lumen.
-
蛋白家族:Calreticulin family
-
組織特異性:Testis specific.
-
數據庫鏈接:
Most popular with customers
-
-
YWHAB Recombinant Monoclonal Antibody
Applications: ELISA, WB, IHC, IF, FC
Species Reactivity: Human, Mouse, Rat
-
Phospho-YAP1 (S127) Recombinant Monoclonal Antibody
Applications: ELISA, WB, IHC
Species Reactivity: Human
-
-
-
-
-















