ATP6AP2 Antibody
-
中文名稱:ATP6AP2兔多克隆抗體
-
貨號:CSB-PA288252
-
規格:¥1100
-
圖片:
-
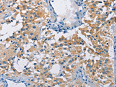
The image on the left is immunohistochemistry of paraffin-embedded Human thyroid cancer tissue using CSB-PA288252(ATP6AP2 Antibody) at dilution 1/40, on the right is treated with fusion protein. (Original magnification: ×200)
-
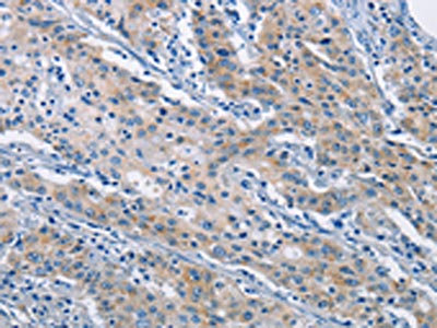
The image on the left is immunohistochemistry of paraffin-embedded Human gastric cancer tissue using CSB-PA288252(ATP6AP2 Antibody) at dilution 1/40, on the right is treated with fusion protein. (Original magnification: ×200)
-
-
其他:
產品詳情
-
Uniprot No.:
-
基因名:
-
別名:APT6M8 9 antibody; APT6M8-9 antibody; ATP6AP2 antibody; ATP6IP2 antibody; ATP6M8-9 antibody; ATPase H(+)-transporting lysosomal accessory protein 2 antibody; ATPase H(+)-transporting lysosomal-interacting protein 2 antibody; ATPase H+ transporting lysosomal accessory protein 2 antibody; ATPase H+ transporting lysosomal interacting protein 2 antibody; ATPase H+ transporting lysosomal vacuolar proton pump membrane sector associated protein M8 9 antibody; ATPase membrane sector associated protein M8 9 antibody; ATPase; H+ transporting; lysosomal (vacuolar proton pump) membrane sector associated protein M8 9 antibody; CAPER antibody; ELDF10 antibody; Embryonic liver differentiation factor 10 antibody; ER localized type I transmembrane adaptor antibody; ER-localized type I transmembrane adaptor antibody; HT028 antibody; M8 9 antibody; M8-9 antibody; MGC99577 antibody; MRXE antibody; MSTP009 antibody; N14F antibody; Renin receptor antibody; Renin/prorenin receptor antibody; RENR_HUMAN antibody; V ATPase M8 9 subunit antibody; V ATPase M8.9 subunit antibody; V-ATPase M8.9 subunit antibody; Vacuolar ATP synthase membrane sector associated protein M8 9 antibody; Vacuolar ATP synthase membrane sector-associated protein M8-9 antibody; vacuolar proton ATP synthase membrane sector associated protein M8 9 antibody; XMRE antibody
-
宿主:Rabbit
-
反應種屬:Human,Mouse,Rat
-
免疫原:Fusion protein of Human ATP6AP2
-
免疫原種屬:Homo sapiens (Human)
-
標記方式:Non-conjugated
-
抗體亞型:IgG
-
純化方式:Antigen affinity purification
-
濃度:It differs from different batches. Please contact us to confirm it.
-
保存緩沖液:-20°C, pH7.4 PBS, 0.05% NaN3, 40% Glycerol
-
產品提供形式:Liquid
-
應用范圍:ELISA,IHC
-
推薦稀釋比:
Application Recommended Dilution ELISA 1:2000-1:5000 IHC 1:25-1:100 -
Protocols:
-
儲存條件:Upon receipt, store at -20°C or -80°C. Avoid repeated freeze.
-
貨期:Basically, we can dispatch the products out in 1-3 working days after receiving your orders. Delivery time maybe differs from different purchasing way or location, please kindly consult your local distributors for specific delivery time.
-
用途:For Research Use Only. Not for use in diagnostic or therapeutic procedures.
相關產品
靶點詳情
-
功能:Multifunctional protein which functions as a renin, prorenin cellular receptor and is involved in the assembly of the lysosomal proton-transporting V-type ATPase (v-ATPase) and the acidification of the endo-lysosomal system. May mediate renin-dependent cellular responses by activating ERK1 and ERK2. By increasing the catalytic efficiency of renin in AGT/angiotensinogen conversion to angiotensin I, may also play a role in the renin-angiotensin system (RAS). Through its function in V-type ATPase (v-ATPase) assembly and acidification of the lysosome it regulates protein degradation and may control different signaling pathways important for proper brain development, synapse morphology and synaptic transmission.
-
基因功能參考文獻:
- Increased level of s (pro) RR in first trimester may be a marker for predicting gestational diabetes mellitus PMID: 27654965
- Soluble (pro)renin receptor is dysregulated in pregnancies affected by diabetes mellitus, but not in preeclampsia. PMID: 29050747
- maternal serum concentrations may reflect acceleration of tissue renin-angiotensin system in the placenta and blood pressure severity PMID: 28864001
- The aim of this review, is to highlight new insights into the cellular and molecular mechanisms by which PRR may regulate UB branching, terminal differentiation and function of UB-derived collecting ducts, nephron progenitor maintenance, progression of nephrogenesis and normal structural kidney development and function--{REVIEW} PMID: 27160552
- Overexpression of PRR is associated with pancreatic ductal adenocarcinoma. PMID: 28874965
- the missense mutations in ATP6AP2 lead to impaired V-ATPase assembly and subsequent defects in glycosylation and autophagy. PMID: 29127204
- High ATP6AP2 expression is associated with Renal Damage. PMID: 27228084
- serum s(P)RR could be used as a marker for atherosclerotic conditions in hemodialysis patients PMID: 27367528
- (P)RR may contribute to the homeostatic control of erythropoiesis. PMID: 28090037
- Placental (P)RR can be involved in blood pressure regulation via the tissue RAS. On the other hand, plasma s(P)RR may be involved in the pathogenesis of decreased renal function in preeclampsia. PMID: 26684753
- the present results suggest that ATP6AP2 rs5918007T might be susceptible factors for Essential Hypertension in Chinese Han population. PMID: 26625836
- A mutation in the splice site following exon 2 may affect splicing due to its close proximity to the exon-intron boundary. It was associated with epilepsy, Parkinsonism and intellectual disability in 2 brothers. PMID: 26467484
- Study identifies a renin-angiotensin system-independent function for the (P)RR in the regulation of LDL metabolism by controlling the levels of SORT1 and LDL receptor. PMID: 26582775
- markedly expressed in adrenocortical zona glomerulosa and aldosterone-producing adenoma PMID: 25668351
- Prorenin receptor promotes atrial structural and electric remodeling and plays an important role in the pathological development of atrial fibrillation. PMID: 25697868
- Demonstrate that there are strong interactions between prorenin, ATP6AP2, and TGFB1 and that this system has a greater capacity in female amnion to stimulate profibrotic pathways, thus maintaining the integrity of the fetal membranes. PMID: 25491485
- a novel GLP1R Interacting Protein ATP6ap2 PMID: 26272612
- Crosstalk between (Pro)renin receptor and COX-2 in the renal medulla during angiotensin II-induced hypertension PMID: 25681793
- This is the first demonstration that (P)RR may be profoundly involved in ductal tumorigenesis in the pancreas. PMID: 25747895
- The binding of prorenin to PRR can promote proliferation and upregulate the anti-apoptotic protein Bcl-2 and downregulate the pro-apoptotic protein Bax independently PMID: 24591529
- MicroRNA-152 represses VEGF and TGFbeta1 expressions through post-transcriptional inhibition of prorenin receptor in human retinal endothelial cells. PMID: 25802486
- Data indicate that (pro)renin receptor ATP6PA2 interacts with the E1 beta subunit of pyruvate dehydrogenase and controlling its protein stability PMID: 25720494
- expressed by lymphocytes and macrophages PMID: 25503726
- activation of (P)RR and AT1R is associated with the pathogenesis of conjunctival EMZL by stimulating the production of FGF2 and MMPs. PMID: 25503453
- The aim of this study was to analyse the contribution of constitutive (P)RR activity to its cellular effects and the relevance of prorenin glycosylation on its ligand activity. PMID: 24424509
- The extracellular domain (ECD) and transmembrane domain (TM) of ATP6AP2 were indispensable for the biogenesis of active V-ATPase. PMID: 24223829
- The expression of (P)RR in erythroid cells, raising the possibility that (P)RR may have a role in erythropoiesis and the pathophysiology of certain types of anemia. PMID: 22884881
- Plasma levels of prorenin receptor are increased in heart failure patients with renal dysfunction. PMID: 23673200
- This study demonstrates that the the extracellular domain of ATP6AP2 participates in dimerization. PMID: 24472541
- Pro)renin receptor and insulin resistance: possible roles of angiotensin II-dependent and -independent pathways. [review] PMID: 22684035
- Plasma sPRR concentrations are dependent on ethnicity and independent of renin, prorenin, and aldosterone concentrations in healthy subjects and in patients with contrasted degrees of renin-angiotensin system activity. PMID: 24218434
- Studies indicated that various polymorphisms in the (P)RR/ATP6ap2 gene associated with increased cardiovascular risks. PMID: 24400720
- Results show that reduction of the full-size ATP6AP2 transcript in XPDS cells and decreased level of ATP6AP2 protein in XPDS brain may compromise V-ATPase function and may ultimately be responsible for the pathology. PMID: 23595882
- High s(P)RR concentration is associated with a lower SGA birth likelihood. PMID: 23555874
- Report the presence of prorenin receptor in human substantia nigra. PMID: 22407459
- The(pro)renin receptor mediates EGF receptor transactivation in both Ang II-dependent and -independent pathways. PMID: 23277024
- These in vitro data indicate that prorenin acidified in vivo possibly modulate renin angiotensin system in (pro)renin receptor-dependent and/or -independent manners which could ultimately lead to the pathogenesis of diseases. PMID: 23111329
- Our data using human samples provide the first evidence that prorenin receptor is associated with angiogenic activity in proliferative diabetic retinopathy. PMID: 22930161
- Data indicate that high circulating levels of s(P)RR at early pregnancy predicted a subsequent elevation in blood pressure, and high concentrations at delivery were significantly associated with preeclampsia. PMID: 23045457
- Prorenin is a chemotactic factor for human aortic smooth muscle cells expressing prorenin receptor. PMID: 22721990
- (P)RR gene activity may be controlled by intracellular AngII. PMID: 21997900
- Angiotensin generation depending on prorenin-(P)RR interaction may occur in transgenic rodents overexpressing prorenin several 100-fold. PMID: 22025376
- Decidual prorenin may be involved in the labour-associated increase in amnion PGHS-2 abundance via the (pro)renin receptor. PMID: 20702505
- that (P)RR influences blood pressure regulation in Caucasian men, potentially through altered aldosterone release PMID: 21346687
- Prorenin receptor is mainly localized in the subcellular organelles, such as the endoplasmic reticulum and Golgi apparatus, and the prorenin receptor is cleaved by ADAM19 in the Golgi, resulting in two fragments. PMID: 21270819
- The polymorphism of the (P)RR gene +1513A>G is associated with lacunar infarction and left ventricular hypertrophy in Japanese women. These results suggest that (P)RR has a role in organ damage in humans PMID: 21228785
- Report expression (pro)renin receptors and angiotensin converting enzyme 2/angiotensin-(1-7)/Mas receptor axis in human aortic valve stenosis. PMID: 21316680
- the crystal structure of the PRR-IC domain as maltose-binding protein (MBP) fusion proteins at 2.0A (maltose-free) and 2.15A (maltose-bound) was reported. PMID: 21420935
- Demonstrate that the (pro)renin receptor (PRR) is expressed in retinal pigment epithelium and may have a role in hypertensive exacerbation of dry age-related macular degeneration. PMID: 19580809
- Expression of (pro)renin receptor in human kidneys with end-stage kidney disease due to diabetic nephropathy PMID: 20385187
顯示更多
收起更多
-
相關疾病:Mental retardation, X-linked, with epilepsy (MRXE); Parkinsonism with spasticity, X-linked (XPDS)
-
亞細胞定位:Endoplasmic reticulum membrane; Single-pass type I membrane protein. Lysosome membrane. Cytoplasmic vesicle, autophagosome membrane. Cell projection, dendritic spine membrane. Cell projection, axon. Endosome membrane.
-
組織特異性:Expressed in brain, heart, placenta, liver, kidney and pancreas. Barely detectable in lung and skeletal muscles. In the kidney cortex it is restricted to the mesangium of glomeruli. In the coronary and kidney artery it is expressed in the subendothelium,
-
數據庫鏈接:
Most popular with customers
-
-
YWHAB Recombinant Monoclonal Antibody
Applications: ELISA, WB, IHC, IF, FC
Species Reactivity: Human, Mouse, Rat
-
Phospho-YAP1 (S127) Recombinant Monoclonal Antibody
Applications: ELISA, WB, IHC
Species Reactivity: Human
-
-
-
-
-















