ASIC5 Antibody
-
中文名稱:ASIC5兔多克隆抗體
-
貨號:CSB-PA865174ESR2HU
-
規格:¥440
-
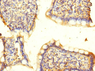
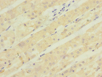
圖片:
-
其他:
產品詳情
-
產品名稱:Rabbit anti-Homo sapiens (Human) ASIC5 Polyclonal antibody
-
Uniprot No.:
-
基因名:ASIC5
-
別名:Acid-sensing ion channel 5 antibody; amiloride sensitive cation channel 5, intestinal antibody; Amiloride sensitive sodium channel antibody; Amiloride-sensitive cation channel 5 antibody; ASIC5 antibody; ASIC5_HUMAN antibody; HINaC antibody; Human intestine Na(+) channel antibody; INAC antibody
-
宿主:Rabbit
-
反應種屬:Human
-
免疫原:Recombinant Human Acid-sensing ion channel 5 protein (140-330AA)
-
免疫原種屬:Homo sapiens (Human)
-
標記方式:Non-conjugated
-
克隆類型:Polyclonal
-
抗體亞型:IgG
-
純化方式:Antigen Affinity Purified
-
濃度:It differs from different batches. Please contact us to confirm it.
-
保存緩沖液:PBS with 0.02% sodium azide, 50% glycerol, pH7.3.
-
產品提供形式:Liquid
-
應用范圍:ELISA, IHC
-
推薦稀釋比:
Application Recommended Dilution IHC 1:20-1:200 -
Protocols:
-
儲存條件:Upon receipt, store at -20°C or -80°C. Avoid repeated freeze.
-
貨期:Basically, we can dispatch the products out in 1-3 working days after receiving your orders. Delivery time maybe differs from different purchasing way or location, please kindly consult your local distributors for specific delivery time.
-
用途:For Research Use Only. Not for use in diagnostic or therapeutic procedures.
相關產品
靶點詳情
-
功能:Cation channel that gives rise to very low constitutive currents in the absence of activation. The activated channel exhibits selectivity for sodium, and is inhibited by amiloride.
-
基因功能參考文獻:
- hBASIC shares further key features with its rat ortholog: it is blocked by extracellular divalent cations, is inhibited by micromolar concentrations of the diarylamidine diminazene, and activated by millimolar concentrations of flufenamic acid. PMID: 23842738
-
亞細胞定位:Cell membrane; Multi-pass membrane protein.
-
蛋白家族:Amiloride-sensitive sodium channel (TC 1.A.6) family, ASIC5 subfamily
-
組織特異性:Detected in small intestine, duodenum and jejunum. Detected at very low levels in testis and rectum.
-
數據庫鏈接:
Most popular with customers
-
-
YWHAB Recombinant Monoclonal Antibody
Applications: ELISA, WB, IHC, IF, FC
Species Reactivity: Human, Mouse, Rat
-
Phospho-YAP1 (S127) Recombinant Monoclonal Antibody
Applications: ELISA, WB, IHC
Species Reactivity: Human
-
-
-
-
-















