ANKHD1 Antibody
-
中文名稱:ANKHD1兔多克隆抗體
-
貨號:CSB-PA614837
-
規格:¥1100
-
圖片:
-
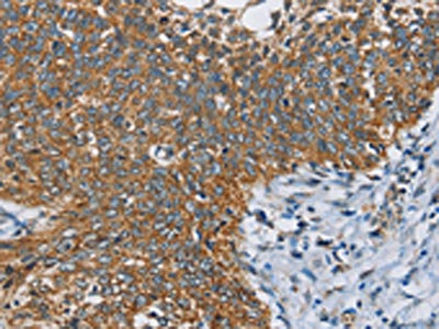
The image on the left is immunohistochemistry of paraffin-embedded Human cervical cancer tissue using CSB-PA614837(ANKHD1 Antibody) at dilution 1/40, on the right is treated with fusion protein. (Original magnification: ×200)
-
The image on the left is immunohistochemistry of paraffin-embedded Human thyroid cancer tissue using CSB-PA614837(ANKHD1 Antibody) at dilution 1/40, on the right is treated with fusion protein. (Original magnification: ×200)
-
-
其他:
產品詳情
-
Uniprot No.:
-
基因名:ANKHD1
-
別名:ANKH1_HUMAN antibody; ANKHD 1 antibody; ANKHD1 antibody; Ankyrin repeat and KH domain containing 1 antibody; Ankyrin repeat and KH domain containing protein 1 antibody; Ankyrin repeat and KH domain-containing protein 1 antibody; HIV-1 Vpr-binding ankyrin repeat protein antibody; HIV1 Vpr binding ankyrin repeat protein antibody; hMASK antibody; KIAA1085 antibody; MASK antibody; Multiple ankyrin repeats single KH domain antibody; Multiple ankyrin repeats single KH domain homolog antibody; PP2500 antibody; VBARP antibody
-
宿主:Rabbit
-
反應種屬:Human
-
免疫原:Fusion protein of Human ANKHD1
-
免疫原種屬:Homo sapiens (Human)
-
標記方式:Non-conjugated
-
抗體亞型:IgG
-
純化方式:Antigen affinity purification
-
濃度:It differs from different batches. Please contact us to confirm it.
-
保存緩沖液:-20°C, pH7.4 PBS, 0.05% NaN3, 40% Glycerol
-
產品提供形式:Liquid
-
應用范圍:ELISA,IHC
-
推薦稀釋比:
Application Recommended Dilution ELISA 1:1000-1:5000 IHC 1:50-1:200 -
Protocols:
-
儲存條件:Upon receipt, store at -20°C or -80°C. Avoid repeated freeze.
-
貨期:Basically, we can dispatch the products out in 1-3 working days after receiving your orders. Delivery time maybe differs from different purchasing way or location, please kindly consult your local distributors for specific delivery time.
-
用途:For Research Use Only. Not for use in diagnostic or therapeutic procedures.
相關產品
靶點詳情
-
功能:May play a role as a scaffolding protein that may be associated with the abnormal phenotype of leukemia cells. Isoform 2 may possess an antiapoptotic effect and protect cells during normal cell survival through its regulation of caspases.
-
亞細胞定位:Cytoplasm.
-
蛋白家族:Mask family
-
組織特異性:Ubiquitous with high expression in cervix, spleen and brain. Expressed in hematopoietic cells with increased expression in leukemia cells. Isoform 2 is highly expressed in spleen with almost no expression in muscle and brain.
-
數據庫鏈接:
Most popular with customers
-
-
YWHAB Recombinant Monoclonal Antibody
Applications: ELISA, WB, IHC, IF, FC
Species Reactivity: Human, Mouse, Rat
-
Phospho-YAP1 (S127) Recombinant Monoclonal Antibody
Applications: ELISA, WB, IHC
Species Reactivity: Human
-
-
-
-
-















