ACTR1A Antibody
-
中文名稱:ACTR1A兔多克隆抗體
-
貨號:CSB-PA918458
-
規格:¥1100
-
圖片:
-
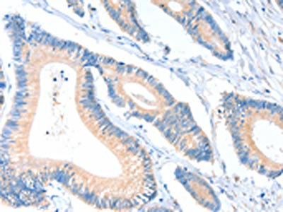
The image on the left is immunohistochemistry of paraffin-embedded Human colon cancer tissue using CSB-PA918458(ACTR1A Antibody) at dilution 1/10, on the right is treated with fusion protein. (Original magnification: ×200)
-
The image on the left is immunohistochemistry of paraffin-embedded Human thyroid cancer tissue using CSB-PA918458(ACTR1A Antibody) at dilution 1/10, on the right is treated with fusion protein. (Original magnification: ×200)
-
-
其他:
產品詳情
-
Uniprot No.:
-
基因名:ACTR1A
-
別名:Actin related protein 1 antibody; Actin RPV antibody; Actin-RPV antibody; ACTR 1A antibody; Actr1a antibody; ACTZ_HUMAN antibody; Alpha centractin antibody; Alpha-centractin antibody; ARP 1 antibody; ARP1 actin related protein 1 homolog A antibody; ARP1 actin related protein 1 homolog A centractin alpha antibody; ARP1 antibody; ARP1 yeast homolog A antibody; Centractin alpha antibody; Centractin antibody; Centrosome associated actin homolog antibody; Centrosome-associated actin homolog antibody; CTRN 1 antibody; CTRN1 antibody; FLJ52695 antibody; FLJ52800 antibody; FLJ55002 antibody
-
宿主:Rabbit
-
反應種屬:Human,Mouse,Rat
-
免疫原:Fusion protein of Human ACTR1A
-
免疫原種屬:Homo sapiens (Human)
-
標記方式:Non-conjugated
-
抗體亞型:IgG
-
純化方式:Antigen affinity purification
-
濃度:It differs from different batches. Please contact us to confirm it.
-
保存緩沖液:-20°C, pH7.4 PBS, 0.05% NaN3, 40% Glycerol
-
產品提供形式:Liquid
-
應用范圍:ELISA,IHC
-
推薦稀釋比:
Application Recommended Dilution ELISA 1:1000-1:2000 IHC 1:10-1:50 -
Protocols:
-
儲存條件:Upon receipt, store at -20°C or -80°C. Avoid repeated freeze.
-
貨期:Basically, we can dispatch the products out in 1-3 working days after receiving your orders. Delivery time maybe differs from different purchasing way or location, please kindly consult your local distributors for specific delivery time.
-
用途:For Research Use Only. Not for use in diagnostic or therapeutic procedures.
相關產品
靶點詳情
-
功能:Component of a multi-subunit complex involved in microtubule based vesicle motility. It is associated with the centrosome.
-
基因功能參考文獻:
- ARP1 interacted with two regions of the FVII 5' flanking region, the hepatic nuclear factor 4 binding region and the nuclear hormone response region, indicating a role for ARP1 in transcriptional modulation of the FVII gene. PMID: 12871323
- point mutation observed by transcriptome sequencing of malignant pleural mesothelioma tumors PMID: 18303113
-
亞細胞定位:Cytoplasm, cytoskeleton. Cytoplasm, cytoskeleton, microtubule organizing center, centrosome. Cytoplasm, cell cortex.
-
蛋白家族:Actin family, ARP1 subfamily
-
數據庫鏈接:
Most popular with customers
-
-
Phospho-YAP1 (S127) Recombinant Monoclonal Antibody
Applications: ELISA, WB, IHC
Species Reactivity: Human
-
-
-
-
-
-















