ABCC8 Antibody
-
中文名稱:ABCC8兔多克隆抗體
-
貨號:CSB-PA22439A0Rb
-
規格:¥440
-
圖片:
-
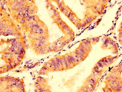
IHC image of CSB-PA22439A0Rb diluted at 1:500 and staining in paraffin-embedded human endometrial cancer performed on a Leica BondTM system. After dewaxing and hydration, antigen retrieval was mediated by high pressure in a citrate buffer (pH 6.0). Section was blocked with 10% normal goat serum 30min at RT. Then primary antibody (1% BSA) was incubated at 4°C overnight. The primary is detected by a biotinylated secondary antibody and visualized using an HRP conjugated SP system.
-
Immunofluorescence staining of U251 cells with CSB-PA22439A0Rb at 1:166, counter-stained with DAPI. The cells were fixed in 4% formaldehyde, permeabilized using 0.2% Triton X-100 and blocked in 10% normal Goat Serum. The cells were then incubated with the antibody overnight at 4°C. The secondary antibody was Alexa Fluor 488-congugated AffiniPure Goat Anti-Rabbit IgG(H+L).
-
-
其他:
產品詳情
-
產品名稱:Rabbit anti-Homo sapiens (Human) ABCC8 Polyclonal antibody
-
Uniprot No.:
-
基因名:ABCC8
-
別名:ABC36 antibody; Abcc8 antibody; ABCC8_HUMAN antibody; ATP binding cassette sub family C (CFTR/MRP) member 8 antibody; ATP binding cassette transporter sub family C member 8 (1) antibody; ATP-binding cassette sub-family C member 8 antibody; HHF1 antibody; HI antibody; HRINS antibody; MRP8 antibody; PHHI antibody; Sulfonylurea receptor (hyperinsulinemia) antibody; Sulfonylurea receptor 1 antibody; SUR antibody; SUR1 antibody; SUR1delta2 antibody; TNDM2 antibody
-
宿主:Rabbit
-
反應種屬:Human
-
免疫原:Recombinant Human ATP-binding cassette sub-family C member 8 protein (729-838AA)
-
免疫原種屬:Homo sapiens (Human)
-
標記方式:Non-conjugated
本頁面中的產品,ABCC8 Antibody (CSB-PA22439A0Rb),的標記方式是Non-conjugated。對于ABCC8 Antibody,我們還提供其他標記。見下表:
-
克隆類型:Polyclonal
-
抗體亞型:IgG
-
純化方式:>95%, Protein G purified
-
濃度:It differs from different batches. Please contact us to confirm it.
-
保存緩沖液:Preservative: 0.03% Proclin 300
Constituents: 50% Glycerol, 0.01M PBS, pH 7.4 -
產品提供形式:Liquid
-
應用范圍:ELISA, IHC, IF
-
推薦稀釋比:
Application Recommended Dilution IHC 1:500-1:1000 IF 1:50-1:200 -
Protocols:
-
儲存條件:Upon receipt, store at -20°C or -80°C. Avoid repeated freeze.
-
貨期:Basically, we can dispatch the products out in 1-3 working days after receiving your orders. Delivery time maybe differs from different purchasing way or location, please kindly consult your local distributors for specific delivery time.
-
用途:For Research Use Only. Not for use in diagnostic or therapeutic procedures.
相關產品
靶點詳情
-
功能:Subunit of the beta-cell ATP-sensitive potassium channel (KATP). Regulator of ATP-sensitive K(+) channels and insulin release.
-
基因功能參考文獻:
- Pancreatic differentiation of ABCC8-deficient cells recapitulated the congenital hyperinsulinism disease phenotype. PMID: 28600547
- HNF1A and ABCC8 are among the most frequently mutated maturity-onset diabetes of the young genes in south India. PMID: 29439679
- A lasso extension forms an interface between SUR1 and Kir6.2 adjacent to the ATP site in the propeller form and is disrupted in the quatrefoil form. These structures support the role of SUR1 as an ADP sensor and highlight the lasso extension as a key regulatory element in ADP's ability to override ATP inhibition. PMID: 29286281
- Combination of heterozygous mutations in the ABCC8 and KCNJ11 genes could also lead to beta cells dysfunction presenting as congenital hyperinsulinism. PMID: 29127764
- genetic association studies in pediatric population in Japan: Data confirm that mutations in KCNJ11 or ABCC8 are associated with neonatal diabetes mellitus. Novel mutations were identified; 2 in KCNJ11 (V64M, R201G) and 6 in ABCC8 (R216C, G832C, F1176L, A1263V, I196N, T229N). (KCNJ11 = ATP-sensitive inward rectifier potassium channel-11; ABCC8 = ATP-binding cassette subfamily C member-8) PMID: 27681997
- report two patients with neonatal diabetes in whom we unexpectedly identified recessively inherited ABCC8 p.Glu747 loss-of-function mutations PMID: 28663158
- In India, ABCC8 mutations were most common, with varied age of onset of diabetes, in our case series. PMID: 27496106
- The patient carries a heterozygous mutation c.2690A>T(p.D897V) of ABCC8 gene. PMID: 28777862
- Minor allele ABCC8 SNP genotypes have increased risk of cerebral edema, while major SNP alleles are protective in severe TBI. PMID: 27677908
- The p.A1369S variant is associated with a significantly lower risk of type 2 diabetes (odds ratio [OR] 0.93; 95% CI 0.91, 0.95; P = 1.2 x 10(-11)). The variant is associated with increased BMI (+0.062 kg/m(2); 95% CI 0.037, 0.086; P = 8.1 x 10(-7) PMID: 28411266
- Mutation in ABCC8 gene is associated with congenital hyperinsulinism. PMID: 28328534
- ABCC8 mutation causing loss of function of beta-cell KATP channels lead to congenital hyperinsulinism, higher basal [Ca(2+)] i and insulin secretion, increased insulin secretion in response to amino acids but not to glucose, increased basal rate of oxygen consumption and mitochondrial mass, increased rates of glycolysis, increased serine/glycine and glutamine biosynthesis, and low gamma-aminobutyric acid (GABA) levels. PMID: 28442472
- Hyperinsulinism-causing mutations cause multiple molecular defects in SUR1 nucleotide-binding domains. PMID: 28346775
- Genes ABCC7, A3, A8, A12, and C8 prevailed among the most upregulated or downregulated ones. In conclusion, the results supported our theory about general adenosine triphosphate-binding cassette gene expression profiles and their importance for cancer on clinical as well as research levels. PMID: 28468577
- Cross-linking experiments showed that KATP channel inhibitors promoted interactions between the N terminus of Kir6.2 and SUR1, whereas channel openers did not, suggesting the inhibitors enhance intersubunit interactions to overcome channel biogenesis and trafficking defects. PMID: 27573238
- Mutations of the ABCC8 gene is associated with congenital hyperinsulinism. PMID: 27682711
- ABCC8 mutation is associated with neonatal diabetes mellitus and iDEND syndrome. PMID: 27849623
- The most frequently seen mutations in Turkish patients with congenital hyperinsulinism (CHI) were ATP binding cassette subfamily C member 8 (ABCC8) gene, followed by 3-hydroxyacyl CoA dehydrogenase (HADH) and kcnj11 channel (KCNJ11) genes. PMID: 27181376
- Mutations in the ABCC8 gene were the most common cause of congenital hyperinsulinism in our cohort. PMID: 26758964
- ABCC8 mutation is associated with persistently elevated insulin concentrations. PMID: 26581065
- A study of mutations in the ABCC8 gene that cause congenital hyperinsulinism demonstrate a clear functional distinction between SUR1 nucleotide-binding domain two (NBD2) and transmembrane domain (TMD) mutants PMID: 26092864
- up-regulation of SUR1 in humans point to this channel as one of the important molecular players in the pathophysiology of Post-traumatic brain contusions PMID: 26398596
- HNF1A gene mutations represented the second most frequent genetic cause of congenital hyperinsulinism of infancy in the Czech Republic PMID: 26431509
- single amino acid difference can account for the markedly different diazoxide sensitivities between channels containing either the SUR1 or SUR2A subunit isoforms. PMID: 26181369
- Mutations in ABCC8 are associated with neonatal diabetes mellitus. PMID: 25781672
- First description of a homozygous p.R1419H mutation in ABCC8 in a family leading to postprandial hyperglycemia followed by hypoglycemia. PMID: 25720052
- in a cohort of hyperinsulinemic hypoglycemia patients from Isfahan, Iran, 78% were noted to have disease-causing mutations: 48% had HADH mutations and 26% had ABCC8 mutations. PMID: 26268944
- study investigated mutations in the KATP channel genes, allelic copy number and imprinting status at 11p15 in patients with congenital hyperinsulinism (CHI); found epigenetic alteration at the 11p15 region plays a central role in developing focal CHI by paternally derived mutations of the KATP channel and maternal allelic loss at this region PMID: 25765446
- genome-wide association studies in population of Pima Indians in Arizona: Data suggest that R1420H loss-of-function variant in ABCC8 is associated with higher birth weights and twofold increased risk for type 2 diabetes with 7-year earlier onset age. PMID: 26246406
- These calculations identified causal genetic variation within the ABCC8/KCNJ11 region for type 2 diabetes mellitus. PMID: 25955821
- Monoallelic ABCC8 mutations are a common cause of diazoxide-unresponsive diffuse form of congenital hyperinsulinism PMID: 24814349
- these data suggest an important role for the Sur1-Trpm4 channel in the pathophysiology of postischemic cell death PMID: 26172285
- Paternally inherited heterozygous ABCC8/KCNJ11 mutations can manifest as a wide spectrum of congenital hyperinsulinism. PMID: 25201519
- SUR1 alanine 1369 variant is associated with allelic susceptibility to TPP. PMID: 25143473
- Mutations in ABCC8 can cause Transient or Permanent Neonatal Diabetes Mellitus. Diabetes secondary to mutations in ABCC8 often responds to sulfonylureas. PMID: 25456640
- Novel ABCC8 (SUR1) gene mutations in Asian Indian children with congenital hyperinsulinemic hypoglycemia. PMID: 25117148
- Activating ABCC8 mutations impaired the balance between beta and alpha cells in the patient, suggesting an effect on beta-cell mass development. PMID: 24941889
- Homozygous mutation in the ABCC8 gene is associated with congenital hyperinsulinism. PMID: 24945427
- Paternally inherited monoallelic mutations of ABCC8 and KCNJ11 are likely the main causes of KATP-congenital hyperinsulinism in Chinese patients. PMID: 25008049
- after a molecular analysis of the ABCC8 gene revealed a novel heterozygous missense mutation in neonatal diabetes mellitus PMID: 24468609
- Clinical and genetic evaluation of patients with KATP channel mutations from the German registry for congenital hyperinsulinism. PMID: 24401662
- Mutations in ABCC8 and KCNJ11 are common causes of CHI in Chinese patients. Mutation analysis showed more novel and monoallele mutations in KATP genes. PMID: 24434300
- All patients were genotyped for CYP2C9, KCNJ11 and ABCC8. PMID: 24442125
- the review summarizes the current evidence of contribution of ABC8 genetic variants to the development of Diabetes mellitus (Review) PMID: 24768178
- This is the largest study to report genotype-phenotype correlations among Turkish patients with congenital hyperinsulinism (CHI). Mutations in ABCC8 and KCNJ11 are the commonest causes of CHI in Turkish patients (48.6%). PMID: 24686051
- Octreotide-induced long QT syndrome in a child with congenital hyperinsulinemia and a novel missense mutation (p.Met115Val) in the ABCC8 gene PMID: 24080777
- Homozygous mutations in ABCC8 are the most common causes of CHI in Saudi patients PMID: 24145932
- Forty-one case-control association studies of KCNJ11 and ABCC8 polymorphisms with type 2 diabetes, including 61,879 subjects, were identified and used in our meta-analysis PMID: 24065655
- molecular analysis of the ABCC8 gene revealed a heterozygous mutation (p.Arg837X) in a newborn with hyperinsulinism and also in his 29-year-old asymptomatic father PMID: 23301914
- We found three missense homozygous mutations in the ABCC8 coding region of patients with congenital hyperinsulinism of infancy. One mutation is novel (G1554D, whereas R526C and P1413L mutation have been previously described as causative PMID: 23652837
顯示更多
收起更多
-
相關疾病:Leucine-induced hypoglycemia (LIH); Familial hyperinsulinemic hypoglycemia 1 (HHF1); Diabetes mellitus, permanent neonatal (PNDM); Transient neonatal diabetes mellitus 2 (TNDM2)
-
亞細胞定位:Cell membrane; Multi-pass membrane protein.
-
蛋白家族:ABC transporter superfamily, ABCC family, Conjugate transporter (TC 3.A.1.208) subfamily
-
數據庫鏈接:
Most popular with customers
-
-
YWHAB Recombinant Monoclonal Antibody
Applications: ELISA, WB, IHC, IF, FC
Species Reactivity: Human, Mouse, Rat
-
Phospho-YAP1 (S127) Recombinant Monoclonal Antibody
Applications: ELISA, WB, IHC
Species Reactivity: Human
-
-
-
-
-















